2010年4月25日,复大肿瘤医院徐克成院长来到印尼首都雅加达,他要一家一家地访问5年前曾在复大治疗的印尼病人。在复大驻印尼办事处主任刘正平医生陪同下,他们首先访问家住雅加达市郊一个小镇的林X花。车到她开的手机店门口,林X花就迎上前来。2002年,她在印尼国家癌症中心被诊断为子宫癌,肿瘤很大,侵犯到临近器官,手术未能切除。她在广州开工厂的哥哥接她到复大肿瘤医院治疗。先给予经皮冷冻,再手术,肿瘤被完全切除。4年前,徐院长应邀到印尼国家癌症中心访问,在医院走廊里巧遇她,她刚接受超声和血液癌标记检查,都正常。这几年徐院长一直担心她。这次看到她,几年不见,她依然那么热情、开朗,一点不像生过癌症的样子。徐院长认真地看了她的最近复查资料,完全正常。石花说,这8年来,她未接受过其他任何治疗,也不知什么叫忧愁。她有两个儿子,均在开店,她不无骄傲的告诉徐院长一行,她的生意很兴旺,儿子也非常孝顺。她说:“谢谢你呀,徐医生,”她笑着紧紧拉着徐院长的手,“我不会讲话,不知怎么说感谢话,只知道,没有你们,我早离开这个世界了。”
林X花病史
女性,54岁,2002年4月21 日入广州复大肿瘤医院。一个月前,因下腹肿胀在印尼接受了剖腹探查,术中发现肿瘤累及邻近组织和器官,未能予以切除。入院后,先给与经皮冷冻和血管介入区域性化疗,2周后给予手术探查,在冷冻协助下,将肿瘤包括子宫、附件和部分受累肠管全部切除。术后再给予区域化疗3次。患者无病生存至今已12年。

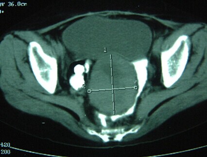
CT显示子宫癌治疗前

CT 显示 治疗后子宫癌消失

治疗后,林X花(中)正在康复中

治疗后10年,林X花与徐克成院长(右)
林X花治疗成功经验
该患者治疗非常成功,已无病生存12年。究其原因,是采用了序贯综合治疗。患者曾在当地医院接受过手术,但失败。在复大肿瘤医院,正是由于加上了冷冻,施行“冷冻协助性手术”,最后完全清除肿瘤。
对盆腔恶性肿瘤冷冻治疗可选择的方法有:
* 手术中直视下冷冻,对被冷冻的肿瘤或者予以切除,或者不切除,或在冷冻后将整个器官全部摘除;
* 经皮冷冻,常在超声、CT或MRI引导下进行。冷冻设备以氩氦冷冻系统为首选,根据肿瘤大小,插入1根或多根冷冻探针,作2个轮回冷冻-复温,需使冰球覆盖整个肿瘤及其周围至少0.5-1.0cm的正常组织。
自2001年5月至2006年5月,共有21例子宫癌在广州复大肿瘤医院接受冷冻治疗。年龄43~78岁,中位54岁。14例接受过放疗/化疗,2例接受过手术。全部患者的肿瘤均为局部进展性,有6例在CT上显示盆腔淋巴结转移。治疗方法:13例手术探查,术中冷冻;8例在CT 引导下经皮冷冻,其中3例先作经皮冷冻,2~3周后给予手术切除。有17例作了活检,组织学显示为腺癌12例,未分化癌9例。结果:18例接受随访,随访期6~58个月。1、2、3、4和5年存活率分别为 94%、71%、66%、40% 和50%。







