骨肉瘤也叫成骨肉瘤,是较常见的发生在20岁以下的青少年或儿童的一种恶性骨肿瘤,在小儿骨恶性肿瘤中最多见,约为小儿肿瘤的5%。
病因
骨肉瘤是骨恶性肿瘤中最多见的一种,是从间质细胞系发展而来,肿瘤迅速生长是由于肿瘤经软骨阶段直接或间接形成肿瘤骨样组织和骨组织。下肢负重骨在外界因素(如病毒)的作用下,使细胞突变,可能与骨肉瘤形成有关。
典型的骨肉瘤源于骨内,另一与此完全不同类型的是与骨皮质并列的骨肉瘤,源于骨外膜和附近的结缔组织。后者较少见,预后稍好。

临床表现
骨肉瘤的突出症状是肿瘤部位的疼痛,由肿瘤组织浸蚀和溶解骨皮质所致。
1.疼痛
肿瘤部位发生不同程度的疼痛是骨肉瘤非常常见和明显的症状,由膨胀的肿瘤组织破坏骨皮质,刺激骨膜神经末梢引起。疼痛可由早期的间歇性发展为数周后的持续性,疼痛的程度可有所增强。下肢疼痛可出现避痛性跛行。
2.肿块
随着病情发展,局部可出现肿胀,在肢体疼痛部位触及肿块,伴明显的压痛。肿块增长迅速者,可以从外观上发现肿块。肿块表面皮温增高和浅表静脉显露,肿块表面和附近软组织可有不同程度的压痛。因骨化程度的不同,肿块的硬度各异。肿块增大,造成关节活动受限和肌肉萎缩。
3.跛行
由肢体疼痛而引发的避痛性跛行,随着病情的进展而加重,患病时间长者可以出现关节活动受限和肌肉萎缩。
4.全身状况
诊断明确时,全身状况一般较差,表现为发热、不适、体重下降、贫血以至衰竭。个别病例肿瘤增长很快,早期就发生肺部转移,致全身状况恶化。瘤体部位的病理骨折使症状更加明显。
检查
在成骨性骨肉瘤的病例,可以在早期发现血液中骨源性碱性磷酸酶增高,这与该肿瘤的成骨作用有关。病理诊断是治疗的依据。当考虑到骨肉瘤的诊断时,进行活体组织检查,尽快得到病理学检查的确认,对明确诊断和治疗有重要的意义。
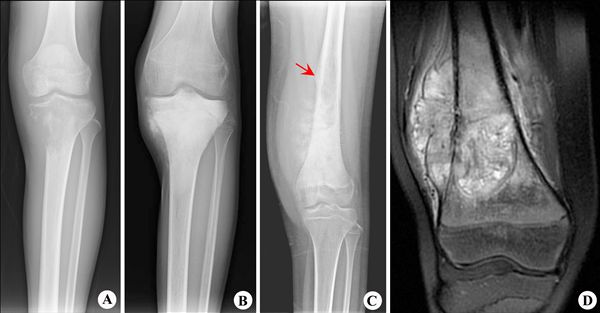
1.X线摄片
典型的骨肉瘤的X线表现为骨组织同时具有新骨生成和骨破坏的特点。肿瘤多位于长管状骨的干骺端,边缘不清,骨小梁破坏,肿瘤组织密度增高,穿破骨皮质后,肿瘤将骨膜顶起,产生该病具有特征性的X线征象--考德曼套袖状三角(Codman-三角)。这种现象在部分骨髓炎和尤文肉瘤病人中可见到,在骨肉瘤中则是非常典型的。晚期可看到肿瘤浸润软组织的阴影,可在部分病例中见到病理性骨折。
2.CT扫描和MRI检查
是判断骨肿瘤性质、范围和有无周围软组织浸润的有效手段,可早期发现肺部和其他脏器的转移病灶,是骨肉瘤临床检查的常规项目。
3.核素骨扫描
是早期发现和晚期鉴别有无转移病灶的常用方法。
诊断
根据病史、临床表现和辅助检查可作出诊断。骨肉瘤应与骨髓炎、尤文肉瘤相鉴别。
并发症
骨肉瘤可引起避痛性跛行,关节活动受限和肌肉萎缩。

治疗
骨肉瘤目前仍是儿童和青少年恶性肿瘤死亡率很高的疾病,但早期发现和及时治疗已经从很大程度上提高了该病的生存率。
骨肉瘤经病理确诊后,即开始前期的化学或放射性治疗,切除肿瘤组织是骨肉瘤治疗中重要的步骤。随着肿瘤外科技术的提高和内置物研究的发展,肢体保存疗法显示了较好的治疗前景。肿瘤组织切除后的巩固性化学或放射性治疗对控制肿瘤转移,提高生存率非常重要。
治疗骨肉瘤应行根治性手术。有条件者可做局部广泛切除而保留肢体。此外,截肢前要做活体组织检查。
免疫治疗为静脉输入淋巴细胞或用干扰素和转移因子,但疗效尚不肯定。
微创治疗
如氩氦刀冷冻治疗、微血管介入治疗的局部治疗与综合免疫疗法的全身治疗相结合,在身体不受创的情况下治疗或抑制肿瘤发展。
预后
肿瘤部位距躯干越近,病死率越高。至于肿瘤的类型和血管丰富的程度与预后的关系很难判断。对患者的免疫反应也应关注。晚期肿瘤做截肢手术,有的可长期存活,经放射治疗后不复发,肺部转移也可消散。这可能与免疫反应有关。
影响预后的因素关键在于早诊断,肿瘤是否彻底切除,手术前后的化疗和放疗。此外,还与瘤细胞的组织类型、大小、手术前后血清碱性磷酸酶增加的变化以及是否累及局部淋巴结等有关。


