
《介入放射学杂志》是中国科技核心期刊,2016年3月出版的《介入放射学杂志》,刊登了由国际冷冻中心首席专家、广州复大肿瘤医院院长牛立志等专家共同完成的《不可逆电穿孔消融治疗胰腺癌的安全性及近期疗效观察》,这篇封面论文详细阐述了不可逆电穿孔消融技术的特点,广州复大肿瘤医院使用不可逆电穿孔消融(以下简称“纳米刀”、IRE)治疗胰腺癌的近期疗效和安全性。这是中国大陆发表的第一篇纳米刀治疗胰腺癌系列病例的原著论文。
广州复大肿瘤医院总院长徐克成欣喜地说:“一家民营专科医院的研究报告,能作为封面论文刊于国家科技核心期刊难能可贵,这是复大医疗团队和科研团队创造的又一奇迹!”
------------------------------------
传统疗法疗效欠佳
胰腺癌是预后严重的肿瘤之一,5年生存率为7%,仅10%'20%胰腺癌可行根治性手术切除。对失去手术机会的局部晚期胰腺癌患者,目前临床多采用放疗和化疗,使部分胰腺癌患者肿瘤“降期”甚至可以手术切除,但总体疗效不满意。其他局部疗法如射频、微波等传统热力学消融对胰腺周围组织结构损伤大,可引起胰漏、胆漏等并发症。
究竟通过什么方法能取得更好的治疗效果,安全性又更高呢?自2015年7月起,广州复大肿瘤医院对一组接受纳米刀治疗的不可切除性局部进展性胰腺癌患者进行前瞻性研究,重点观察IRE治疗的安全性及近期疗效。
纳米刀技术几大优势
纳米刀技术是一种不依赖热量形式的新兴肿瘤消融技术。其利用微创电极传递毫秒级电脉冲,形成外来电场改变细胞膜磷脂双分子层的跨膜电位,使细胞膜进行重排,细胞表面出现很多纳米级空隙,导致细胞膜渗透压升高。当脉冲能超过某个电场阈值时,造成不可逆的细胞损伤,引起细胞凋亡,并具有限制细胞外基质损伤和保护大血管及胆管结构的特点。因此,纳米刀技术可能是治疗邻近或包绕腹腔干、门静脉及胆总管等重要管腔等不可切除胰腺癌一种重要的选择。
IRE技术主要具有以下几个特点:
①与热消融技术(如射频、微波等)不同,IRE无须热能,不受热吸除效应的影响;②IRE诱导细胞凋亡的同时,胶原纤维和其他结缔组织成分未发生变性,因此不易损伤大血管、胆管和神经等重要组织结构;③IRE消融彻底,消融边界清晰,可准确判断和评估疗效;④治疗时间短,可在较短时间内对靶区进行多次和(或)分区消融;⑤由于IRE能够诱导细胞凋亡,而凋亡细胞通过细胞吞噬作用以非炎性的方式清除,因此,术后局部炎性反应轻微。
安全性更高
复大肿瘤医院牛立志等专家对该院一组接受IRE治疗的不可切除性局部进展性胰腺癌患者进行前瞻性研究,发现——
胰腺癌患者术后一个月增强CT提示获得的缓解率为83.3%。而且,患者均对IRE治疗耐受良好,术后不良反应的发生率低,程度轻,经支持治疗及简单对症治疗后可好转。术后24小时血清淀粉酶无明显升高,无一例发生胰腺炎,与Martin报道的实验及临床结果一致。3例患者IRE术中出现偶发室性早搏可能与电流刺激及应激反应有关。
更令人欣慰的是,本次入组患者术后30天内均未见胆漏、大血管出血、深静脉血栓或胰漏等严重并发症。由此可见,IRE技术确实能有效存留胰腺肿瘤周围血管、胰管等组织结构,且术中、术后安全性较好。
综上所述,IRE疗法治疗局部进展性胰腺癌安全、有效,值得向临床推广。

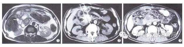
图为胰头部肿瘤IRE消融术前术后影像学改变
①术前MR显示肿瘤邻近十二指肠受压,肿块包绕邻近胆总管、胰管,肿瘤的大小为2.8cmX2.3cm;
②术中CT显示肿瘤中心插入主电极及标准电极各一支,电极距离为2.0cm;③术后30天CT增强扫描显示病灶中心无强化,范围较前略缩小
完整版请见《介入放射学杂志》2016年3月第三期《不可逆电穿孔消融治疗胰腺癌的安全性及近期疗效观察》一文。


