最近,关于胃癌的各种热搜话题与新闻层出不穷。12月1日,19岁博主“灰太狼”因胃癌晚期去世。11月22日,百万粉丝抗癌网红“努力坚强的湘妹子-阿妹”也因胃癌且全身多处转移去世,终年53岁。


这些消息一出,迅速引起了大众的广泛关注,不禁让我们深思:
- 胃癌不是老年人才得的吗?怎么越来越多年轻人患癌了?
- 如果早一些进行胃镜检查,结果会不会不一样?
- 难道晚期就只能“等死”吗?
胃癌在中老年人群中更为常见。然而近年来胃癌年轻化的趋势愈发明显。这一现象可能与生活方式和饮食等因素有关。如长期熬夜、精神焦虑压抑、暴饮暴食或者过度节食、三餐不规律、爱吃烧烤、爱抽烟喝酒、幽门螺杆菌感染等等。
胃癌具有恶性程度高、发展快、侵袭力强、易复发、预后差的特点,其中侵袭和转移是胃癌的重要恶性特征,也是导致胃癌患者死亡的最主要原因之一。胃癌早期症状并不明显,与其他良性胃部疾病症状差别不大。胃镜检查是目前诊断食管、胃以及十二指肠疾病最常用、最可靠的手段。

小向(化名),来自湖南,曾因胃癌多发转移被当地医院“劝回家”,不甘放弃的她,找到广州复大肿瘤医院,并通过精准治疗实现“逆天改命”。
01 回家吧,没有治疗方案了
2022年5月,小向出现腰背部疼痛,食欲减退等症状,到当地医院就诊发现胃部、胰腺、腹膜后多发占位病变,临床结合病理考虑为进展期胃癌伴胰腺、肝脏以及腹膜后多发淋巴结转移。这个检查结果对于年仅四十多岁的小向来说,简直晴天霹雳。
进展期胃癌是什么?
广州复大肿瘤医院医疗五科刘树鹏主任解释道,进展期胃癌是指胃癌有局部转移。最常见的症状以疼痛与体重减轻为主,常伴较明显的上消化道症状如上腹不适、进食后饱胀,随着病情进展疼痛加重,食欲下降、乏力。
不同部位的肿瘤会有特殊表现。到了中晚期,胃癌患者可出现贫血、消瘦、营养不良甚至恶病质等表现。如有长时间消化道不适,尤其短期之内有明显变化的,建议到正规医院进行诊治,切勿强忍,因小失大。
为了控制病情,小向开始口服化疗药治疗,可疗效甚微,还出现呕吐、恶心等副作用。当地医生认为她的病情复杂,让她回家,因为已经没有新的治疗方案了。
02 介入联合免疫,打破治疗困境
陷入治疗困境的小向并没有放弃,她与爱人一直寻找肿瘤专科医院,最终于2022年6月来到广州复大肿瘤医院医疗五科就诊。
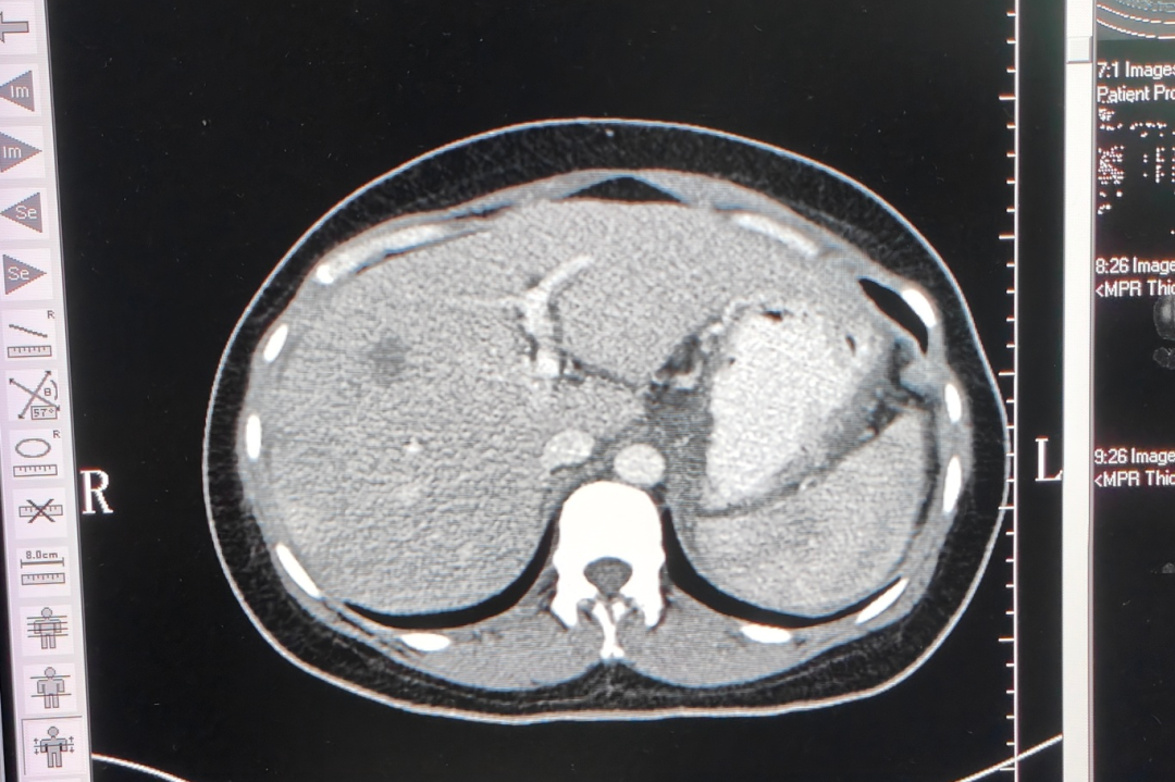
入院时,小向的身体状况并不好,贫血、白细胞红细胞偏低、吃不下东西,还时不时抱着个盆呕吐……影像结果提示,其肝内有多枚实质占位,较大的约7.6×5.2cm;肝门区及上腹部腹膜后可见多处实质占位,最大切面范围约15.8×13.2×10.1cm;而胃底贲门区-腹膜后-胰腺体尾部有巨大不规则软组织密度肿块影,范围约13.1×9.5×9.3cm。

▲2022年6月,治疗前影像检查结果
小向的病情发展不容乐观,但他们夫妻对于“生的渴望”,不断寻求治疗方法的态度,让刘树鹏主任记忆犹新。秉着“以患者为中心”的宗旨,刘主任及团队在多科协作下共同为小向制定了详细的治疗方案,即先给她打营养针,增强营养,提高机体免疫力,再为其进行介入动脉灌注化疗,并联合免疫药物治疗,以达到控制肿瘤的目的。
第1次治疗后,小向开始能吃下东西,腹部肿胀也得到了缓解,整个人轻松了不少。令小向夫妇欣喜的是,第3次介入治疗后,影像结果显示,肿瘤普遍缩小至一半以上,有些甚至消失,如肝脏转移瘤较前缩小至4.6cm;胃底贲门区-腹膜后-胰腺体尾部肿瘤较前缩小至7.6cm等等。

▲2022年8月,第三个疗程影像检查结果
2022年12月,小向已完成7个疗程,她的情况也越来越好,睡眠、体重、饮食各方面都得到明显改善。今年4月,小向再次返院复查,与之前CT图像比较,肿瘤再次缩小。小向告诉我们,从被确诊胃癌,到收到没有治疗方法的结果,他们夫妇都没有想过放弃。“最重要就是保持积极心态,如果你自己放弃了,别人也救不了你,坚持才会有希望的。”也正是因为他们的坚持,才与复大结缘,才遇见奇迹。

▲2022年12月,影像检查结果

▲2024年4月,影像检查结果




