肺鳞癌属于非小细胞肺癌中常见的一种病理类型,占原发性肺癌的40%-51%,因肺鳞癌肿瘤组织检测到可靶向驱动突变的比例极低,进展期患者治疗方式以放化疗为主,如何进一步提高肺鳞癌患者的治疗有效率备受关注。
恶性肿瘤,难以手术
见到龚叔的时候,他正坐在椅子上看篮球比赛,与我们交谈时表情自若。据了解,57岁的龚叔来自贵州,是一名有37年工龄的人民警察,2002年患“甲亢”,经过碘-131放射性同位素治疗后出现心脏房颤、胸闷、咳嗽等副作用。2018年12月底龚叔体检时发现肺部有点问题,但因为工作性质他仍然上了三个月班。“一开始没多大注意,因为肺癌的一些反应跟我甲亢治疗后的副作用很相似。”龚叔告诉我们,直到2019年5月8日他才趁着休假去当地医院做了CT检查发现左肺上叶巨大占位,考虑恶性病变可能性大。

为进一步诊疗龚叔去了昆明某医院,通过穿刺活检结果显示:恶性肿瘤,结合免疫组化结果支持为低分化鳞状细胞癌。“在这家医院做基因检测确定是肺鳞癌,肿瘤大约有拳头那么大。”龚叔说道,由于自己存在甲减及房颤,手术风险较大,医院也没做任何手术治疗。
2020年2月龚叔又回到贵阳一家医院复查,CT结果显示:左肺上叶肺癌伴厚壁空洞形成,肿瘤大小约7.9×9.7×11cm,双肺多发结节,不排除转移,全身SPECT/CT考虑存在骨多发转移,医院给予龚叔靶向药治疗也没有做手术。“他们组织很多医生会诊讨论但都因为我心脏房颤,同样觉得手术难做、手术机会不大。”龚叔告诉我们,这次复查提示靶向药的疗效甚微,他还出现咳血、大面积的口腔溃疡,生活质量很差。
介入治疗,超出预期
心急如焚的龚叔一家人为了看病在网上查找各种肿瘤知识、肿瘤医院的相关信息,看到了广州复大肿瘤医院关于肿瘤治疗技术的介绍以及被多家媒体报道过的信息,龚叔立马与官网客服取得联系便开车直奔过来。

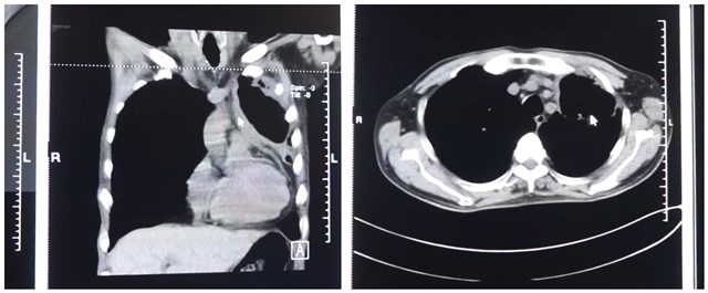
手术前CT
2020年3月11日,龚叔来到广州复大肿瘤医院就诊,检查发现其肿瘤较前进展,因服药期间有间断咳血,医生建议后续停止口服安罗替尼。针对龚叔的病情,我院介入科周强副主任医师、杨清峰和钟小军主治医师等人立马组织会诊,给予龚叔平喘、止咳、化痰、雾化、减低心律等对症治疗,随后在局麻下进行介入化疗及介入栓塞术,治疗过程顺利。

手术中
“患者来我院的时候,左上肺有一个巨大肿块,出现里面空洞坏死,壁不断增厚。”钟小军医师表示,经过两次介入治疗,龚叔的肿块壁明显变薄,空洞范围增大,病灶明显缩小,同时他的胸闷气短的症状基本改善。

第一次、第二次治疗后
“第一次介入化疗一周后,胃口就上来了,精神也不错。”龚叔很兴奋地告诉我们,来医院之前他体重下降到47kg,但是经过几次治疗后他的体重慢慢上升到59kg左右。之前其他医院的诊断不是三个月生存期就是半年,但现在的情况已经远远高于预期,龚叔觉得自己走对一条路,“我回家与朋友聚会时,他们都觉得不可思议,觉得我都晚期肺癌,精神状况还能那么好。”
远赴几百公里,只为复大
为什么自己要跑那么远来广州复大肿瘤医院?龚叔表示复大医院肿瘤的治疗不仅仅是针对肿瘤本身,更加关注提高患者的生活质量,这里的治疗更加人性化,在医院里可以感受到家一样的温暖。“我原来因为房颤错失了肿瘤的治疗,但这里医疗一科的医师为我制定了个体化、精准有效的治疗方案不仅没有影响我的心脏功能,还帮我控制了肿瘤。”
治疗的过程总是漫长又枯燥但医院的医护人员却让龚叔倍感温馨。“这里有个患者一直告诉我这里的医生护士把病人当亲人,儿子都不愿帮他端屎端尿反而护士帮忙干了。”龚叔觉得医院的服务好能够给患者归属感。“三病区的护士每天都是乐呵呵地工作,让我觉得是在家里的样子。”最让龚叔印象深刻的是每次化疗之前,介入科钟小军等医师总是会详细解释手术、用药情况,打针或穿管都会问“痛不痛”、“要拔针了哦”,种种细节都让龚叔很舒适,也让他对治疗充满信心。
龚叔的感受也正是广州复大优质“BEU”服务的真实写照,即基本服务(Basic)、预期服务(Expected)和惊喜服务(Unexpected),不仅服务到位,还到心,以诚心与真心,用扎实的治疗技术为他们治疗疾病,也让患者感受到“复大”大家庭的温暖。
肿瘤血管介入疗法(CVI)
肿瘤血管介入疗法包括经动脉灌注化疗术(TAI)、经动脉栓塞术(TAE)和经动脉栓塞化疗术(TACE)。经动脉灌注化疗术是通过一根很细的特制导管在影像设备的引导下插到肿瘤的供血动脉内注入化疗药物,以达到提高肿瘤组织药物浓度、增加抗肿瘤作用的目的。而经动脉栓塞术是将血管栓塞剂通过导管注入肿瘤靶动脉血管内,使其闭塞以达到治疗肿瘤的目的。
肿瘤血管介入治疗全程在影像设备的引导和监视下进行,能够准确地直接到达病变局部,同时又没有大的创伤,因此具有准确、安全、高效、适应证广、并发症少等优点,现已成为一些疾病的首选治疗方法。暨南大学附属复大肿瘤医院由朴相浩副主任医师、周强副主任医师、杨清峰主治医师领衔的介入治疗团队开创了介入治疗的新模式。





