在网络、通讯日益发达的今天,书信似乎渐渐淡出了我们的生活,然而最近我院收到一名肺癌患者何叔的一封感谢信。信中他用“舒心祥和的氛围只觉春风扑面、细心周全的医护更如冬日融融。”来表达自己入院一个多月后对医生精湛医术、对护士精心护理的赞许。
揪心:常规体检现肿瘤
65岁的何叔来自广州,当年赶上高考末班车的他很喜欢文学,然而这位出口成诗的老人并没有被命运眷顾。2019年10月,何叔在当地医院做常规体检,发现肺部有一个阴影。因为医院挂号难以及检查程序繁琐,等到确诊是肺腺癌已经是一个多月的事情了。2020年5月9日何叔复查胸部CT示肺部肿瘤较前增大,偶有胸闷、活动后气促等不适。因病情发展快速又长期在医院奔波检查,何叔的脸颊凹陷,整个人瘦了15公斤左右。

“可能是因为我们没有任何手术价值了,那家医院三个月都不给我们换药,也不给我们其他意见,还拒绝我们住院。”何叔的女儿告诉我们,因为病情加重,从右肺有胸水到左肺也有,整个人都不能呼吸了。在经过多方查询,了解到广州复大肿瘤医院是一家有特色的肿瘤专科医院,医护环境舒适,护理人员耐心,让心急如焚的他们找到了生命的救赎。
暖心:对症下药,及时调整
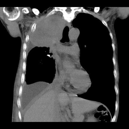
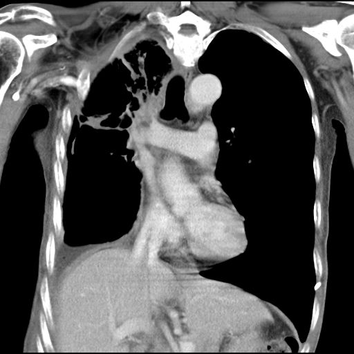
2020年5月12日,何叔来到复大就诊,检查结果:入院查CT示右肺中央型肺癌并右肺上叶及中叶阻塞性肺不张表现,肺腺癌T3bN2M1 Ⅳ期,伴胸膜、纵膈、右肺门等多发淋巴结转移,左侧胸腔中大量积液,右侧胸腔少量包裹性积液。针对何叔的病情,复大专家团队立马组织会诊,先后给予何叔静滴安维汀和两次动脉DSA+灌注化疗联合PD-1治疗,何叔的呼吸症状得到改善,肿瘤也从8.6公分缩小到4公分。


治疗后
“治疗简单,我爸爸无特殊不适,身体恢复快,自我感觉好,右肺的呼吸音也恢复了。”何叔的女儿感慨说道,如果没有选择这家医院,可能病情还会继续拖着,也没有遇见这群可爱又耐心的医护人员,父亲可能也没有抗癌的信心,病情也不会有所改善。
贴心:医护人员的照顾
“我没有选择错误,余华燕医生在巡查时总是关怀我的身体感觉,及时用药缓解痛苦不适。”何叔很感激地说道。在此之前他对民营医院有所顾虑,然而住院期间医生护士总是不厌其烦地传授一些知识以及经验,像对待家人一样对待他。
“化疗后那几天人会比较虚弱,但是护士总是会拉家常,转移我的注意力,最重要的是他们每天都是笑呵呵的,让我觉得心情愉悦。”最让何叔既惊喜又感动的是在父亲节当天他收到了来自护士亲笔画的专属贺卡。小小的卡片却让他感受到节日的气氛,也感受到真诚的祝福。
“医院的氛围特别好,虽然说是工作职责,但他们只要看到有需要就会认真去做,行为很暖心、很贴心,为我提供最大的舒适感,也给予了我很大的信心。”就这样,何叔在一声声清脆的招呼声、一个个微笑中放下顾虑,安心治疗。

信心:一封感谢信 一份肯定
一分耕耘一分收获,作为医务工作者,最大的收获莫过于患者的康复及对于工作的肯定和信任。在入院一个多月后,何叔向医护人员送来感谢信。“治疗最重要的是医患之间的沟通。”余医生笑笑说道,信任来自于沟通与关怀,来自扎实的临床技术,患者的治疗都离不开这些。正因为有这样的团队——在平凡的工作做不平凡的事情,复大以专业的知识为病人排忧解难,以耐心友善的态度为病人护理,以风趣幽默的言语与病人时时沟通,以祥和氛围的环境来排解病人的烦恼。

金奖银奖不如患者的夸奖,患者的满意是对医护人员辛勤工作的最好褒奖。一封信,篇幅不长,文字朴实无华,但字里行间浸透了患者对治疗并帮助过自己的医护人员们深深的感激!一句“感谢”是对医护人员的赞许,是对医疗水平的肯定,是对工作的认可,同时也是激励,是医务工作者不断前进的动力。今后,广州复大肿瘤医院会继续不忘初心、全心全意的为更多患者的健康保驾护航,提供更优质的服务!



