前言:
众所周知,无论男女,肺癌是所有癌症中发病率最高的恶性肿瘤,占肿瘤死因第一位。肿瘤在早期并没有特殊症状,仅为一般呼吸系统疾病所共有的症状,如咳嗽、咳痰、痰中带血等,在临床中70%~80%的肺癌临床就诊时都属于中晚期。正肺神经内分泌肿瘤是常见的神经内分泌肿瘤,起源于前肠,肺神经内分泌肿瘤发病率为1.35/10万。肺神经内分泌肿瘤是一个独特的肺肿瘤亚群,占所有神经内分泌肿瘤的25%,近年来发病率的快速增加。暨南大学附属复大肿瘤医院最近接收一位来自印度的左肺神经内分泌肿瘤患者。

阿萨里和他的妻子
阿萨里(化名)是我们今天采访的主人公,他来自印度新德里,患有左肺神经内分泌肿瘤,伴有肝继发恶性肿瘤、淋巴结继发恶性肿瘤、左侧肾上腺继发恶性肿瘤、骨继发恶性肿瘤。恰逢听闻印度“空气污染”事件传的沸沸扬扬,也许他能给我们带来不一样的答案。
Q:您好,阿萨里,可以做一个简单的自我介绍吗?
A:我叫阿萨里(化名),我来自印度新德里,我是经商的,我今年已经55岁了。我和我的妻子育有一儿一女,我的大女儿即将就业,我的小儿子在参与家族企业,我的家庭生活很快乐。”
Q:阿萨里,平时有什么兴趣爱好?
A:平时我很喜欢打乒乓球和羽毛球。可能是因为我父亲曾参军过,在体能方面有所遗传给我了,所以我对各项体育项目都比较在行。读书期间我常常参加学校的体育活动,也在那个时候渐渐地喜欢上了乒乓球。但是随着年龄的增长兴趣爱好也随之改变了,现在的我只能忙着自己的事业,没过多的时间琢磨自己的兴趣爱好了。不过一有空闲的时间还是会与家人一起去看看电影,看看摄影展,钓钓鱼,和家人或朋友一起短途游。我特别喜欢旅游,即使自己的身体情况有很多不定性的因素,我还是依旧很热爱生活。
Q:这段时间陆续传来印度新德里“空气污染”事件,不知你是否有留意?
A:因为复查我和妻子在这件事情爆发前就来到了复大,但是我这段时间都一直密切关注印度那边新闻动态。因为我的家人都还在那边,所以我很担心他们的情况。以前每年大约在11月和12月份都会有这种情况发生,但是并没有像这次事件影响这么大。我想我们的政府部门已经在研究相应的措施,相信很快就有办法可以让空气污染得到控制。

阿萨里和医生合影
Q:你是什么时候发现自己患病?身体会什么不适症状?
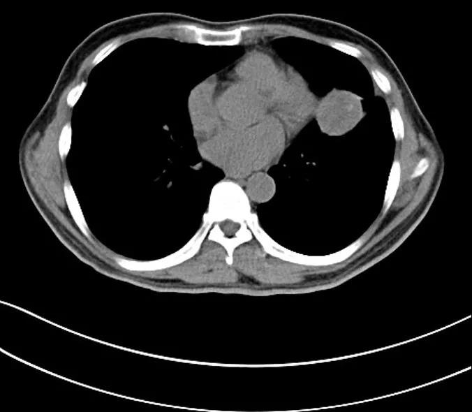
A:大约是2018年3月份,那天早上我跟往常一样约上我的朋友去公园打乒乓球,打着打着我就感觉到右侧腰背部和胸部隐隐作痛,我当时只是觉得只是运动拉伤。直到这种疼痛感持续到一段时间,我才去见医生;医生听了我的描述,给我先是做了超声检查又做了CT扫描,医生从CT片子里看出了肺部和胃有肿瘤,为了弄清楚是不是癌症,在医生建议下我还做了活检,最终得出的结果就是癌症,还是第3期癌症。
Q:当得知自己是第3期癌症的时候,你和你家人是什么反应?
A:他们第一反应是震惊,我自己也觉得很不能理解,为什么肿瘤会发生在我身上,我个人认为我是一个很健康的人,饮食和运动方面也是很注意,但是我不知道到底是哪里出现问题。通过各种检查发现我的身体确实出现了问题,我的父母、妻子、儿女以及所有的家人都非常支持我,一直鼓励陪伴着我去攻克肿瘤这个难题。
Q:确诊病情后在当地有做什么治疗吗?
A:在2018年3月份到4月份,医生对我进行3程依托泊苷+顺铂方案化疗,但是肿瘤并没有变化,后来医生又换了新药进行新的治疗方案,在2018年9月到4月间我一直接受口服化疗药物的治疗,效果依旧没有多大的变化。因此,我就停止化疗尝试去寻找新的治疗方法。
Q:之后有寻找新的方法?你是如何得知复大的信息?
A:正当我很苦恼的时候,我的朋友跟我提起他的朋友曾因肿瘤在复大接受过治疗,通过朋友我联系了他,从他那里得到了复大的信息。然后我根据他所提供的信息去网上进行查阅,查阅后,我开始思考既然当地的化疗对我已经没有效果,不如抱着一线希望去尝试一下新的治疗方法,于是我就在今年8月份来到复大。进行了一次冷冻治疗,这次来复大的目的是复查和做第4次介入治疗。

2019.09.19

2019.11.05
阿萨里在2019-8-22行左肺神经内分泌肿瘤冷冻消融术,2019-08-29进行了左肺神经内分泌肿瘤肝脏转移瘤介入化疗术;于2019-09-20行肝脏转移瘤穿刺活检术;于2019-09-21行左肺神经内分泌肿瘤肝脏转移瘤介入化疗术;于2019-10-11行第3程姑息性化疗。
Q:你刚刚说这是你第四次过来,对比之前做的治疗,你现在感觉如何?
A:跟来复大治疗之前相比,最明显的感觉是以前连十步路都走不了,现在正常行走都不会伴随着疼痛,很开心现在的我可以携着妻子去附近的菜市场、超市转转,可以和妻子在附近的公园散步呼吸新鲜空气。这些功劳都是来自复大的医护人员,没有他们对我的照顾,我或许现在还躺在病床上。在这里真的很感谢他们,一直不厌其烦为我们解答疑惑,在这里我感觉很暖心的服务,很谢谢他们对我的帮助。
Q:在你抗癌这一年多时间里,对于肿瘤心态和看法是否有所改变?
A:以前我听到肿瘤都觉得很可怕,甚至第一次听说体内长肿瘤是震惊。以前我自我感觉是一个很健康的人,平时会晨练、打乒乓球锻炼。自从患病后,慢慢的发现其实肿瘤也没有想象中那么恐怖。事情发生了我们就要积极的去面对,无论结果如何,只要有一丝希望,就必须积极去抵抗!
如果我们无法选择疾病,那么我们可以选择面对疾病的态度。如果抗癌之路比想象中要长,那么我们可以选择面对疾病的方式。现代医学在不断地进步,癌症不再是不治之症。通过相对应的治疗,有的患者能达到与癌共存一辈子,只要按时复查,坚持“扶正”治疗,还是可以如健康人一样享受生命!
越坚强、越乐观、越积极面对,希望就越大!乐观态度是治疗一切的开始!




