
前言
蔚蓝的天空,别样的异域风情,喧闹繁杂与安静祥和共处一方,这就是一个神秘的国度——尼泊尔,每个尼泊尔人都有着一颗虔诚的心,崇高的宗教信仰总会让你触摸到前所未有的灵魂深处。
与“梭”的一面之缘

在暨南大学附属复大肿瘤医院里,你可能会看到鲜为人知的罕见疾病,也有可能会看到忙碌奔波的医护人员,还有可能会碰到肤色各异的病患。前些天,在楼梯口偶遇一个病患,他坐着轮椅,肤色稍白,有点像欧洲面相,穿着病患的衣服,精神飒爽,脸上的胡须,像生长的小草一茬茬的在两腮旁冒出,最特别的还是他那头渐变色的卷发,头发根部是白色,再是橘色最后是橘红色的卷发,甚是漂亮。他背后的那位男士的肤色则要暗色一些,看起来好似是印籍人士。后来碰到医护人员,并向她讲述起那天偶遇的红发患者,护士马上就反应到是哪位患者,这才得知那两个长相迥异的人是一对父子,患者来自尼泊尔,今年已经74岁,名叫梭(化名),患胰腺癌。
红发的尼泊尔人

手术前
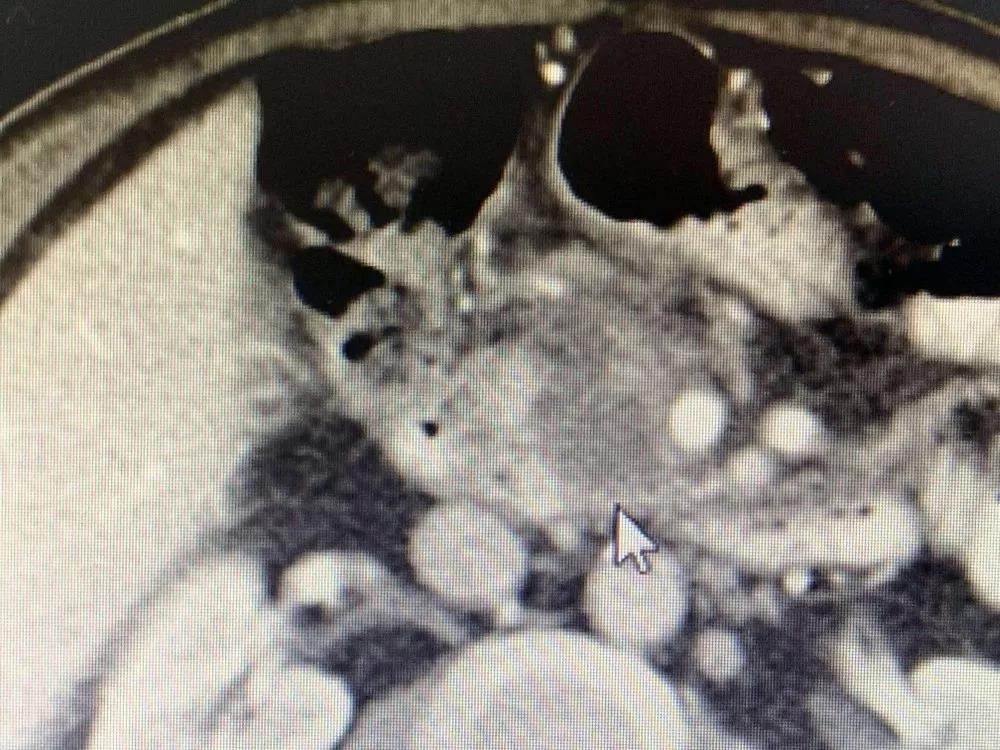
胰腺肿瘤包绕血管,及腹腔淋巴节转移

通过护士了解到,梭和梭的家属都很亲切,打招呼时候总会双手合十放在胸前向你微笑点头,说话也很温和。梭生活在印度教和佛教浓厚的尼泊尔里,连耳垂都与佛有几分相像。梭是今年四月份突发上腹疼痛,五月中旬在当地医院检查发现,“胰腺钩突肿物,有大概3cm大小,肿块邻近肠系膜上静脉”,疑是胰腺癌。在7月25号再次检查发现,病情严重了,出现“侵及肠系膜上静脉及肠系膜上动脉;腔静脉前及主动脉旁多发小淋巴结”;由于医疗条件有限,没有很好的治疗方案。他的医生拉吉夫向他介绍了中国的肿瘤医院。
为此儿子开始在网上查找有关父亲病情的医院,搜索到“暨南大学附属复大肿瘤医院”,通过浏览网站,了解到复大肿瘤医院的冷冻消融技术位于世界前列,也有治疗胰腺癌的病例。

手术中

胰腺肿瘤不可逆电穿孔术
为了早一点治疗父亲的疾病,梭的儿子急忙的带着他在8月31号来到复大肿瘤医院。经过多次详细检查,诊断为:胰腺癌钩突部腺癌III期和2型糖尿病。肝、肺、甲状腺等多处出现结节,需要随后跟进治疗;牛立志博士与多名医生针对梭的病情展开讨论以及跟家属沟通后,分别在9月6号行“锁骨下静脉置管术”;9月7号行“胰腺肿瘤不可逆电穿孔术”。术后经过一系列的护理,梭的情况逐渐转好。
尼泊尔的“摸头礼”

今天早上九点十五分,天气晴朗,牛立志博士和李红梅医生前脚后脚的踏入了602病房,走进去时候,一头橘红色卷发的梭盘坐在在床上,和身旁的家人有说有笑,看见牛博士和李医生到来,梭深感高兴。李医生说道:“74岁的尼泊尔ranten先生,胰腺癌纳米刀消融手术后一周,复查CT肿瘤完全坏死,肿瘤标志物CA199从术前的78降至正常。”

手术后
牛立志博士查阅梭的检查报告点了点头,翻阅梭的影像及化验情况不错,轻轻的拍着梭的肩膀耳旁说道“梭,告诉你一个好消息,你明天可以出院了。”梭激动的握住牛博士的手,把牛博士的手放在他的额头上,嘴里念叨着。正当牛博士表示疑惑看着他家属时,家属笑着解释道:“这是尼泊尔的一种礼节,是为了表示感谢牛博士。在来复大肿瘤医院之前,我们也曾咨询了印度等国家医生,他们都表示没有办法,来中国我们也是半信半疑,毕竟这么多医生都不肯接,没想到梭在进行纳米刀手术后,恢复那么快,症状也得到改善了,太感谢牛博士给予了我们一家生的希望。”

“摸头礼”
牛博士嘱咐道:“现在还不能掉以轻心,回去要记得按期做好化疗,局部晚期胰腺癌一定要做好全程管理,才能防止病情复发!”牛博士和梭一家合影留念。随后牛博士在网上查阅才得知“摸头礼”是国王对下属、臣民的礼节!这让牛博士大吃一惊,觉得这礼节有点重,其实能减轻患者的痛苦,就已经是给予复大医护人员最大的欣慰。
人有时像机器,身体的器官就像零件,总会有磨损的时候或者受到外界病种入侵的时候。这时,就需要像医生护士这样的身体“修理师”出现,检测我们的身体病变位置,为我们认真严谨的修复身体的每个零件,维护我们的健康。看到患者的康复,才是医生最大的幸福。




