癌肿是21世纪人类的克星。胰腺癌是癌中“王”之“王”。近年来,胰腺癌发病率逐年增加。美国每年有新发胰腺癌患者28000例,居恶性肿瘤死亡病因的第四位。许多名人和政要均患了胰腺癌,大多数已死亡。世界著名男高音歌唱家帕瓦罗蒂,他的名曲《我的太阳》在全世界家喻户晓,被称为“高音C之王”,也患了胰腺癌,病逝于2007年,终年72岁。他病逝前体重较最后一次举行音乐会时减少了30公斤,还需要坐轮椅。
背景材料
由于胰腺深藏于腹腔深部,发生癌肿时往往无明显症状。一旦发生“典型”症状,例如厌食、消瘦、后背疼痛和黄疸时,往往已属晚期,能够切除者不足全部病例的5%。往往手术打开腹腔时,发现癌肿已扩散或转移,而被迫关闭腹腔,病人“白吃一刀”。
几十年来,人们一直在探索胰腺癌治疗的新措施。多种类型的放疗相继应用于治疗胰腺癌,但未能提高病人的存活率。化疗药如健泽一度被人们寄予厚望,但结果令人失望,仅有5%-10%的患者在应用此药后肿瘤缩小,且不能延长病人生存时间。中国抗癌协会于2002年总结全国2340例胰腺癌患者治疗结果,其中三、四期患者治疗后生存一年者分别为17%和7%,无一例能生存3年以上。
到底胰腺癌患者有无生存甚至治愈的希望?我们看以下事实――
中国江门老人的奇迹
2007年5月,马来西亚《alaf semenanjung》杂志主编Mazimah和Zainal记者、Wan记者、和《大家健康》Ong eng leong记者以及印度尼西亚五家媒体,包括《Femina》Yoseptin记者、《Media Indonesia》Heru记者、《Kompas》Susy记者、《Jawa Post》Ti Tik记者和《国际日报》杨学科记者先后访问我院,希望了解最难治疗的胰腺癌治疗情况。
江门市是广东省一省辖市,离广州两小时车程。那儿有一位老人黄先生,患胰腺癌,治疗后已健康生活3年。我们驱车前去访问。
黄先生家住江门市内一普通小区。我们的汽车刚在黄先生家门口停稳,黄先生夫妇即快步迎上前来。我在三年前见过黄先生,近年在记忆中已经淡忘。但我不断听到来自江门的朋友讲起他。黄先生今年已83岁,但看上去他的年龄要小十岁。花白的头发,红润的面庞,一副健康的福相。那天正好他移居加拿大的儿子回来,全家正处于团圆的欢乐之中,我们的到来,多少有所打扰。但黄先生全家对马来西亚和印尼的客人给予十分热忱的接待。让座、倒茶,相互问候,客厅内一时热闹异常。
黄先生告诉记者:2004年7月初,他大便次数增多,腹部隐隐不适,去江门市人民医院检查,做B超和CT,发现胰腺肿癌。突然的打击几乎让他精神崩溃。黄先生的太太是护士,对胰腺癌的严重性早有所闻。有医生劝黄先生接受手术,但全家反对,一方面黄先生年事已高,另一方面他们了解胰腺癌能切除者微乎其微。一位邻居告诉他们:广州复大肿瘤医院有不开刀的冷冻治疗,对肝癌、肺癌等许多肿瘤有良好效果。7月14日,夫妻俩带着简单的行李,直奔广州,当日住进复大肿瘤医院。牛立志博士等医务人员给黄先生作了详细检查,作了肿瘤活检,确诊为胰腺囊腺癌。7月16日,黄先生接受了冷冻加125-碘粒子植入治疗。医生在CT引导下,作腹部穿刺,不开刀,将细针直接插入胰腺肿瘤内,先冷冻,再植入125碘粒子20粒。第二天,黄先生下地行走;第三天,恢复正常饮食;第八天,出院回家。三年来,除腿关节有点老年退化性变性外,他生活完全正常,无疼痛,食欲好,睡得香,每天散步半小时。CT复查显示:胰内肿瘤消失。
黄先生告诉记者,他很幸运。整个治疗仅花4万元人民币。他说:如果我开刀,可能早就死了。他拟就了一饮食谱:每天杂粮(黄豆、玉米、小米、苡仁米、赤豆)8两,鲜鱼1条,青菜2斤,水果4个。他正准备和老伴一起到加拿大、美国儿子家小住半年,回来后到医院接受一次DC细胞免疫治疗。他笑着说,按现在的身体状况,活到九十岁没问题。
在印尼棉兰见到的奇迹
2007年6月26日,我在印尼《国际时报》安排下,去印尼棉兰访问。棉兰是印尼苏北省首府,仅次于雅加达和泗水的第三大城市。三年前我第一次访问棉兰,那次印华总会和棉兰朋友的热忱接待,至今难以忘怀。两年多前,亚齐省海啸,死伤数万,棉兰成为全世界救援亚齐的转运地。当时,我每天均注视电视报道,看到我熟悉的华人领袖和朋友夜以继日忙于救灾,深为他们的忘我精神所感动。
到达棉兰的第二天,我刚用过早餐,苏北省印华总会负责人廖章然先生来电,说洪先生和他太太要来见我。我努力回忆,但很难清晰记得洪先生其人。见到洪先生,我恍然记起,他的太太是一位胰腺癌患者。洪先生是一位成功企业家,个头不高,但壮实健康。洪太太一把拉住我的手,连说:“想不到吧!谢谢你们。”只见她说话爽朗,中气很足,面容稍黑,但绝无病态。
一年多前的一天,廖章然先生来电,说有一位朋友的太太患胰腺癌,在马来西亚滨城接受手术治疗。腹腔打开后,发现癌肿已不能切除,未作特殊处理,即关闭腹腔。医生预期生命只有两个月。这位太太就是洪先生的夫人。她不屈命运,来到我院接受了冷冻、血管介入、免疫和近距离治疗。
我为洪太太作了简单的体格检查:无黄疸,腹无压痛,无肿块。中午廖章然先生请我吃饭,洪先生夫妇作陪。见洪太太吃得很香,精神矍然,我感到由衷高兴。胰腺癌的主要症状是厌食和消瘦,洪太太的食欲正如她所说“老是吃不饱”,说明她的胰癌已被控制。她告诉我,超声和CT复查未见肿瘤发展。医生看病时察言观色十分重要,看到洪太太的神态,我估计她再健康生存几年应该不会有问题。
真是奇迹!凭着洪太太入院时的病情,我无论如何想不到她有今天!但愿洪太太再活下去,活下去…
雅加达高官
2007年1月底,正值雅加达洪水。我应邀去万隆讲课,途径加得布朗医院。院长请我为一胰腺癌病人诊治。病人是雅加达政府高官。因患胰腺癌,先后前往新加坡和日本求诊,均因无法手术而被拒治。后接受化疗和放疗,但病情未控制,反而肝脏出现转移。他把希望寄托在我院。但他是印尼有身份人士,非华人,信奉伊斯兰,能否在我院获得改善,我心中不无忧虑。但医生是无权拒绝病人的。他来到我院,接受了以冷冻为主的综合治疗。治疗后,疼痛消失,食欲增加,体重不再下降趋于稳定。他出院了,据说恢复了工作。
事隔半年,我再访印尼。在雅加达,见到了这位高官。他紧紧握着我的手,说:“I do believe I have a long life!”
他要求我不要透露他生病的消息。这大概是全世界高官的通病,怕肉体生病影响政治生命。我当然为他保密。
研究论文:冷冻治疗局部进展性胰腺癌38例
最近,我们总结了38例局部进展型胰腺癌的治疗效果。治疗方法是冷冻加125-碘粒子植入。11例接受剖腹冷冻,27例接受CT引导下经皮冷冻。125-碘粒子是在冷冻同时或稍后植入。结果:肿瘤在治疗后取得完全反应率(肿瘤消失)24%,部分反应率(肿瘤消失30%以上)42%,稳定率(肿瘤缩小不超过30%)26%,进展率(肿瘤增大20%以上)8%;患者一年存活率94%,二年49%,三年22%。52%的患者已存活一年以上。有四例已生存两年以上,最长一例已生存37个月。其效果远超过国际上应用化疗、放疗治疗的成绩。
冷冻应作为胰腺癌的首选治疗
胰腺癌治疗迄今仍面临着很多难题。奥地利一冷冻专家Kopan说,不管对什么类型胰癌,冷冻均可作为首选治疗,并可用冷冻代替手术治疗。冷冻治疗不会出现严重并发症。由于冷冻区边缘温度不能达到足够低的温度,以致残留活存癌细胞,此时,在冷冻区边缘植入125-碘粒子,凭借其放射的短短r线,可杀灭残存癌细胞,从而与冷冻起相辅相成作用。
有关资料
“Since the cryosurgical method is far less invasive than conventional pancreas resection for pancreas, the rate of complications and postoperative mortality are very low,cryosurgery should be choice modality for most of patients with pancreatic cancer.”
引自:Korpan NN著.《Basics of Cryosurgery》. “Pancreas cryosurgery”.Wein NewYork.Springer-Verlag出版社,2001年出版,第151~154页

患胰腺癌去世的歌唱家帕瓦罗蒂

胰腺和胰腺癌图片

徐教授、刘正平医生与印尼棉兰朋友聚会

黄先生与大马记者一起
![]()
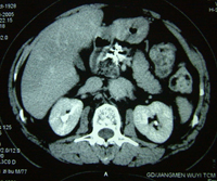
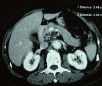
A B C
黄先生胰腺癌治疗前后CT:A 治疗前,B 治疗后3个月,C 治疗后 12个月
胰腺癌患者生活保健
胰腺癌病人从诊断到治疗,精神、心理、身体都受到打击,在这种情况下,注意自我保健显得尤为重要。应尽可能保持日常生活的规律性,定时起床、进食及活动,避免消极悲观,终日卧床不起。适当增加户外活动。安定情绪,遇到不愉快或不称心的事,应冷静思考,切忌急躁或暴怒。饮食上要合病人的口味,选择易消化、富营养、少刺激性、低脂肪的饮食,多吃新鲜水果和蔬菜。要避免暴饮、暴食、喝酒和高脂肪、辛辣刺激的饮食。康复期应采用中医中药治疗,将消瘤与补气养血相结合,以起到标本兼治之功,并与其他疗法配合应用,增加治疗疗效。对胰腺癌病人来说,经常进行复查很重要。定期复查一般术后每隔1个月、3个月复查1次,以后每6个月复查1次;3年后,一般可每年复查1次。定期复查的主要项目是腹部B超或Cr检查,了解局部有无复发和转移病灶。若B超发现可疑病灶,性质不明确,可进一步作CT或MRI检查。其他常规检查,如血常规、生化检查和大便潜血试验,亦必须定期检查。
康复饮食方
栀子仁枸杞粥
原料:栀子仁5~10克,鲜藕6克(或藕节10—15节),白茅根30克,枸杞40克,粳米130克。
制作方法:将栀子仁、藕节、白茅根、枸杞装入纱布袋内扎紧,加水煮煎药汁。粳米下锅,下人药汁、清水,烧沸,小火煮烂成稀粥,可加蜂蜜适量调味,即可。
功效:清热利湿,凉血止血,除烦止渴。
赤豆鲤鱼汤
原料:大鲤鱼一尾(约1000克),赤豆50克,陈皮6克,玫瑰花15克。姜、盐、绿叶蔬菜、鸡汤各适量。
制作方法:鲤鱼洗净,赤豆煮之开裂与陈皮放人鱼腹内。鱼放盆内加入姜、盐、赤豆汤、鸡汤、玫瑰花、蒸约60~90分钟,出笼放绿叶蔬菜入鱼汤即可。
功效:活血化瘀,理气散结,利水消肿。
荠菜豆腐羹
原料:佛甲草120克,荠莱180克,豆腐200克,净芦笋28克,黄豆芽汤750克,调料适量。
制作方法:佛甲草切段,装入纱布袋,加水适量,煎煮药汁,留用。炒锅烧热,加入黄豆芽汁、药汁、豆腐丁、芦笋片和盐,烧沸,放人荠菜,烧沸,加入味精、熟花生油,出锅即可。
功效:清热和脾,消肿解毒。
猪胰海带汤
原料:猪胰1条(约100克),淡菜30克,海带20克,肿节风15克,姜汁3克,调料适量。
制作方法:肿节风切段,装入纱布袋,加水煎煮药汁。猪胰洗净,沸水内氽一下。淡菜去毛,海带温水泡发后洗净。锅热人花生油,猪胰片煸炒,下人姜汁,加入鸡清汤、药汁、淡菜、海带、料酒、盐、酱油,烧沸,小火烧熟透,味精调味,即可。
功效:补虚益脾,清热解毒,软坚散结。


