Meigs综合征是指卵巢良性实体肿瘤如纤维瘤、纤维上皮瘤、泡膜细胞瘤、颗粒细胞瘤、硬化性间质瘤等,合并有腹腔积液及胸腔积液等体征,在原发卵巢肿瘤被切除后,胸腹腔积液也随着消失的一组临床综合征。该综合征最早由Joe Vincent Meigs于1937年报道。
而其他病理类型的盆腔良性肿瘤合并胸腹水的病例也被不断发现,包括卵巢良性畸胎瘤,粘液性囊腺瘤,输卵管乳头状瘤,以及卵巢恶性肿瘤如Krukenberg瘤,还有非卵巢肿瘤,如肾盂移行细胞瘤等也不同程度的合并有胸腹腔积液等体征。因此,有专家将后续各种非卵巢良性实体肿瘤称之为假性Meigs综合征。假性Meigs综合征在临床上较少见,发病率低,容易误诊。

▲广州复大肿瘤医院医疗五科副主任刘树鹏分享病历
近期,广州复大肿瘤医院医疗五科连续收治两名由结肠癌引起的假性Meigs综合征患者,即发生于结肠癌,后发生卵巢转移,引起大量的腹水和胸水,经过积极治疗如肿瘤完全(RO)切除后,可得到长期生存。目前文献报告非常少,来源于结直肠癌的病例在国外仅仅11例,而国内未见相关报道。

▲结直肠癌卵巢转移致假性Meigs综合征病例报告汇总
病例一
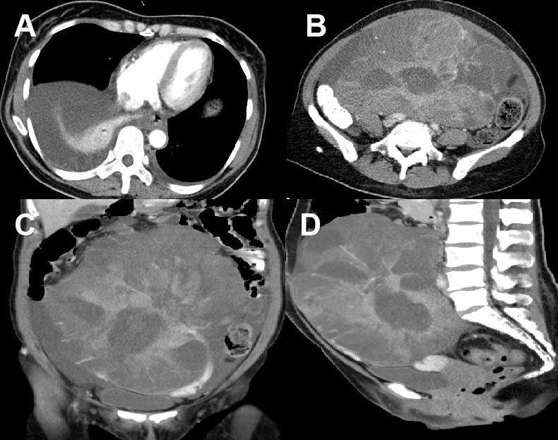
患者C女士,结肠恶性肿瘤晚期,伴有盆腔巨大肿块,导致腹胀、肠梗阻,并出现胸水、腹水等症状。医生结合既往病史和实际情况,提出以下几个疑问:①肠梗阻是怎么引起的?是结肠癌引起还是卵巢肿瘤压迫?②结肠癌与卵巢巨大瘤有什么关系?③胸水是否意味着有病变?有转移?
带着这些问题,医生对患者进行全面检查,发现几点有利的证据:①卵巢肿瘤巨大,但并没有包绕肠道和大血管,相对独立完整;②肠梗阻是由卵巢肿瘤巨大挤压导致的;③有胸腹水,但并没有发现病变,化疗过程胸腔积液未见明显减少。

这些发现,让患者的手术成为可能。最终经过一系列准备后,我院专家为患者取出了大小24×24×20厘米、7斤2两重的巨大肿块。术后第5天,患者的胸腹水也随之消失了。其病变提示为(腹盆腔)转移性腺癌,考虑为原肠癌转移。

病例二
患者Z女士,因出现下腹痛,伴有便血及便秘及经期子宫异常出血,伴头晕胸闷憋气,于2023年年初检查出肠癌伴有右附件区肿瘤并腹腔、腹膜后淋巴结及腹膜转移可能,在当地医院接受手术及化疗。2023年年底复查发现盆腔肿瘤较前明显增大,压迫肠道导致肠梗阻,且胸腹腔积液引流后未见明显减少。

最终,我院专家同样通过手术的方式,为患者完整切除24×24×20厘米的巨大肿块,术后3天,患者胸腔积液也消失。其病变也符合腹盆腔转移性腺癌,考虑为原肠癌转移。

假性Meigs综合征的治疗,目前主要通过手术切除卵巢巨大肿瘤来达到治疗的效果,多数患者经过手术切除后,胸腹腔积液也随着消失,临床预后较好,患者可长期生存。当然,也有部分因为基础疾病比较严重的患者,不适合手术切除,通过对症引流胸腔及腹腔积液也能达到缓解临床症状的效果。
肠癌+卵巢巨大转移瘤+胸水+腹水……面对这种情况,一般人会认为是晚期,肿瘤复发或多发转移,无法继续治疗。本次收治的这两例患者,均为结肠原发肿瘤,根据患者临床表现结合检查结果,在当地医院均考虑为晚期肿瘤,临床医生均以化疗或者靶向免疫等方法姑息性治疗,效果差强人意。
但秉着不抛弃、不放弃的初心,广州复大肿瘤医院结合临床与文献,将实践与理论相结合,在明确诊断为假性Meigs综合征后,经手术切除卵巢肿瘤后,两例患者的胸腹腔积液均完全消失,且未再明显复发。目前患者继续接受术后辅助化疗治疗,防止病情进展。


