舌癌是头颈部常见的恶性肿瘤,也是口腔癌中发病率及恶性程度最高、转移最早、预后最差的癌种之一。超过98%的舌癌为鳞状细胞癌,腺癌较少。在口腔鳞状细胞癌中,舌鳞状细胞癌的发病率居首位,约占口腔恶性肿瘤的43.4%。

▲2013年12月,受中山大学口腔医院邀请,在“口腔肿瘤手术高级研修班”上授课
舌鳞状细胞癌除发生于舌尖,亦可发生于舌背、舌腹、舌缘等部位,其中以舌缘部位最为常见,其次才为舌尖、舌背及舌根。舌癌发生时,局部常有慢性刺激因素,如锐利牙尖或残根;也可有白斑等癌前病损;或无明显诱发因素,病变发展较快。病变局部疼痛是最常见的症状。当癌瘤侵犯舌外肌时,可能出现不同程度的舌运动受限。晚期舌癌还会累及口底、下颌骨、舌根、咽侧壁等结构。





▲患者呼吸道受巨大舌癌压迫,影响呼吸,我院为其进行高难度的气管切开术。
近年来,舌癌发生率逐年增高,且呈年轻化趋势,男性发病率高于女性。目前针对舌癌的治疗,临床上以手术为主,并根据病理特征加以术后治疗。对于无法手术、拒绝手术或常规治疗失败的舌癌患者,可以考虑冷冻消融、纳米刀消融等微创治疗手段。

▲舌癌冷冻消融术示意图
冷冻消融治疗是兼有-160℃超低温冷冻、不开刀消灭肿瘤和免疫增强等多种功效的治疗系统。其基本原理是将癌组织快速冷冻形成冰球后再复温,引起癌细胞进一步坏死或凋亡,从而达到消融目的。
冷冻消融适用于头颈部许多良性、癌前期性或癌性病变,包括口腔、咽部、喉部和下咽部癌肿。冷冻消融局限性舌癌,通常可有两种方式:一种是直接将液氮喷洒于病灶表面;第二种是局部麻醉后,将冷冻探针插入病灶内,采用氩氦冷冻系统进行2个循环的冷冻和复温。



▲一位舌癌患者经放化疗后,肿瘤疯长到口腔外面。2023年我院为其成功实施冷冻消融术。
对于手术风险很大或其他疗法无效的病例,冷冻治疗作为姑息疗法,能有效缓解症状,提高患者生活质量。冷冻可降低神经纤维敏感性,缓解疼痛,减少病人对止痛剂的需求。对于大的肿瘤,冷冻可减少瘤负荷,减轻肿瘤所致的压迫症状。
根据学者Benson于1975年发表的文献,冷冻消融结合区域性动脉内持续灌注化疗48小时,对舌癌治疗有明显见效。Ikekawa也曾列举两例复发性舌癌,经冷冻加上局部灌注油型bleomycin治疗后取得良好效果。冷冻治疗与化疗具有协同作用,冷冻可以增加瘤细胞对化学药物的通透性。在冷冻有效区域及邻近低温区域,抗癌药浓度高于未冷冻的区域,肿瘤破坏也多于一般单用化疗。
近年来,广州复大肿瘤医院在舌癌冷冻治疗的临床实践中取得了较好成果。作为国内较早探索冷冻治疗技术的医院,复大目前冷冻治疗实施例数及相关学术文献数量均居世界前列。


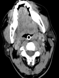
▲图为舌癌并左颈部肿物的纳米刀消融(颈外动脉位于肿物底部,无法分离)。
其中左图显示术中舌体立即变白;右图为术后10天,左侧舌部病灶周围组织大片水肿改变,邻近局部皮肤亦增厚粘连。
对于局部进展期且拒绝手术的舌癌患者,治疗手段有限,除了冷冻消融,纳米刀是另一种相对具有优势的治疗手段。该疗法是一种非热能的新型肿瘤消融技术,通过释放高压脉冲在肿瘤细胞上形成纳米级永久性穿孔,破坏癌细胞内外平衡,使细胞快速凋亡,所以又被称为“纳米刀”。与冷冻消融相比,纳米刀消融的主要优势是对神经损伤小,特别是在运动神经密布的颈部、腋窝、腹股沟、盆腔等部位,可使肿瘤消融更加彻底,副作用也明显减少。
根据我院舌癌纳米刀消融的临床实践经验,通过纳米刀治疗舌癌,预防严重并发症的关键在于气道管理。通常术后应及时气切,并密切监测生命体征及术区变化情况。此外,纳米刀结合动脉灌注化疗、靶免或放疗等手段,能取得较好疗效,未来在舌癌治疗中或将有更加广阔的前景。




▲舌癌患者行纳米刀术后半年创面愈合
值得注意的是,舌癌常伴有溃疡和疼痛症状,多数患者容易将舌癌当作普通的口腔溃疡处理。口腔溃疡具有自限性,通常一到两周就能自愈,而舌癌有无自限性特征。当口腔溃疡超过两周不愈,应前往医院就诊,以便及时诊断和治疗。
牛立志
擅长肿瘤外科及微创冷冻、纳米刀治疗,在胰腺癌、肝癌、肺癌、肾癌等实体性肿瘤的微创治疗方面独树一帜,带领冷冻团队完成了一万多例复杂的微创冷冻治疗,所治疗病人覆盖不同年龄及人群,从4岁幼童至94岁老人,从国外卫生部长、明星到普通百姓,均取得了满意疗效。
发表论文三百多篇,其中SCI文章共112篇。同时参与编著医学专著二十多本,主编四本,科研基金共25项。
主要荣誉:
— 最美红棉老兵
— 白求恩式好医生
— 暨南大学首届优秀医院院长
— 广东医院优秀院长
— 广东好医生
— 广州市劳动模范


