刘正平
三、信心疗法------满怀信心充分激发癌症病人潜能
人之存活于世,除了基本的生活需求外就是还要创造一点价值回馈给这个社会。宇宙无限,生命有限。在有限的生命里一个富有爱心而又充满无限自信的人当然会创造出更多的价值。我看到的徐克成教授总是精神饱满忙碌而不知疲倦。其实,今年已年过70的他患肝癌手术及坚持免疫治疗已经四年了,因为他对自己的治疗充满信心加上他一心想着还要为攻克癌症贡献自己的智慧、还要关心很多的癌症病人,还要培养更多的接班人等这些未完成的事业,而且他本身是癌症患者有深切体会,因此更加珍惜生命并激励自己信心百倍的投入每天的工作。他常对我们讲:当医生没有技术水平当然不行,但仅有这些是不够的,还需要有爱心、良心和战胜一切困难的信心。特别是当了肿瘤医生后,面对不属于“早期”的癌症,不要轻易判为“晚期”,要将“晚期”转化为“早期”,将“不治”转化为“可治”,甚至根治,而这种转化的关键就是医务人员的信心和对病人的热情、真诚!
不仅医生要信心,晚期癌症病人自己的信心也非常重要,徐教授讲述了一个号称“漂白水大王”的肝癌病人起死回生的故事:他是香港的一位76岁的企业家王老先生,媒体称为“漂白水大王”,因为他在2003年“沙士”流行期内向社区捐献大量的漂白水。还是在2001年3月份,他因肝癌做了手术,到2003年初时肝癌复发,检查发现肝上已有4个癌瘤。香港医生说无法治疗了。他不屈服,在太太的陪同下来到广州复大肿瘤医院。第二天,他在美国和香港的6个子女几乎一致地来电:“请医院动员他们的父亲出院回家,因为他们不认为父亲的肝癌能在中国大陆治疗。”王老先生坚决不同意,她说:“生命是我自己的,我有权利维护自己的生命,死也要死在这儿。”他的儿女急了,决定在某一天集体来医院接回父亲。王先生对子女们发火了,下决心要求医院尽快安排适合他的治疗。他接受了肝癌的血管介入、碘粒子植入和冷冻治疗。术后一周出院回到香港。其后1年内,他的生意特别兴旺,他高兴地说:“上天又一次恩赐给我生命和财富了。”
有时候,生命存亡在于自己的一种愿望,如果王老先生不是坚持“死也要死在这里”,有强烈接受治疗的愿望,结果肯定是另一种状态;有时候,生命取舍又是那么简单的悬于他人手中一线,需要他人运筹分秒,只争朝夕地把握时间,对自己进行挽救和振作。王老先生用充分的自信既把握了自己,也寄托对了医生,因而健康快乐的活了下来,直到2年后因心脏病突然发作去世了,而不是死于癌症。值得注意的是很多癌症病人其实并不脆弱,往往只要一息尚存,他们就要坚持活下去,所谓“安乐死”,并不是多数病人的选择,我们医生千万不要因为自己没有信心帮他们治疗就轻易放弃“晚期”癌症病人。徐教授说:热爱生活,眷恋生命,生存的信心可使人战胜癌症,这就是现代的“信心”疗法。《吉尼斯世界纪录大全》记录了一个癌症病人接受手术889次的世界纪录。记录创造者是美国南科他州电气技师詹逊。30年前,他开始患皮肤癌,并相继扩展到骨骼和内脏,他也因此而一次一次接受手术,脸部、颈部、手臂、背部、脑部和胆囊都留下了手术刀迹。他是世界有名的明尼苏达州梅奥(Mayo)诊所的长期病人,医生准备在他去世后研究他的遗体,但这一想法迄今未实现,因为他还活着,还在继续创造世界记录。30年来,詹逊坦然面对疾病,从不让死亡的阴影笼罩自己,这种生存的信心显然是他战胜癌症的一个重要因素。
如果说,人的生命是大自然赐予的一块高雅的宝石,那么大自然在给人类恩赐的同时,也不断地在人的生命旅途上制造荆棘,埋没陷阱,这就是疾病。但生命往往比疾病更为坚强,人们在一生中不断与疾病作斗争并战胜一个又一个的疾病,延年益寿的同时还维护了生命的尊严------没有信心的人做不到这一切,信心能激发我们的潜能!

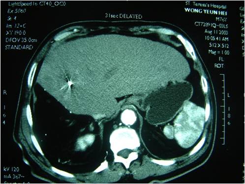
2003年1月CT,肝多个肿瘤

2003年12月CT 肝肿瘤消失无再复发

2003年王先生肝癌复发

2004年在香港公司接待徐克成教授


