收到患者的锦旗是常事,一天收到好几面锦旗也不稀奇,但同一位患者家属一天送三面锦旗,你遇到过吗?近日,患者邹叔叔与爱人在出院之际分别为牛立志院长,医疗四科、介入科的医护人员送上自己精心准备的锦旗,以表感激之情。他说:“每面锦旗的内容,都是我跟我爱人字斟句酌,反复推敲。”



黄疸反反复复折磨人
邹叔叔在3年前因为胃癌在当地医院接受了胃切除手术,术后病理提示为胃窦幽门管印戒细胞癌。患癌,那就抗癌。在此之后,他接受了多个疗程的化疗。但今年上半年,他开始出现了胃纳减退、黄疸等症状。“整个人跟个‘小黄人’一样,胃口也不好,吃不下饭。”邹叔叔表示,当时的他胆囊管、肝门部胆管管壁增厚、强化,有恶性可能,通过PTCD置管术减轻了黄疸症状。
但好景不长,黄疸症状再次卷土重来。今年6月,邹叔叔复查发现肝门区(左右肝管汇合处)有1个结节状FAPI高摄取病灶,伴肝内胆管明显扩张,考虑为胆管细胞癌可能;肝脏内FAPI摄取弥漫性增高,考虑为肝内胆管引流不畅所致,医生为其进行了胆管引流管更换+胆道活检术。
“到了后面,我的黄疸越来越严重,整个人也越来越不好。”邹叔叔告诉我们,自己没食欲,但为了营养,拼命地吃,可是又消化不了;活检取不到组织只能手术,但身体又虚弱无法耐受……这一切都快把他折磨到崩溃。这也让他和家人下定决心寻找新的治疗。
“我想看看有没有不手术的机会。”正巧几年前他的表姐和朋友都曾在广州复大肿瘤医院做过冷冻消融等微创治疗,他也进而了解到医院的微创技术以及徐克成总院长“与癌共存”的理念,这让他心生期待。“我那时候还咨询过牛院长,问他我这种情况有没有不做手术的治疗,他说有,可以不做手术。”这个回复,让他松了一口气,也让他下定决心来到广州复大肿瘤医院就诊。
医患配合,完成只有20%成功率的手术
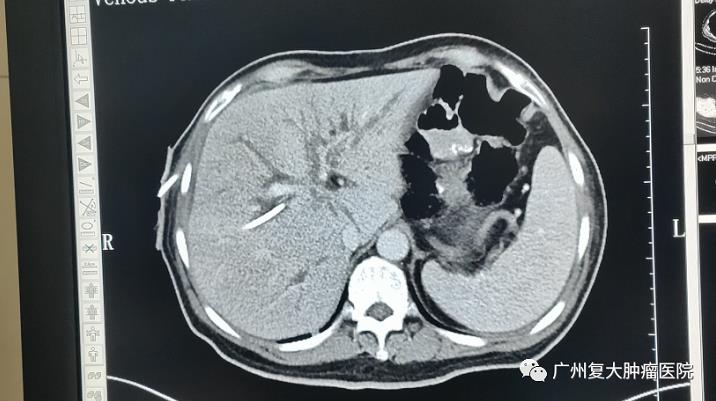
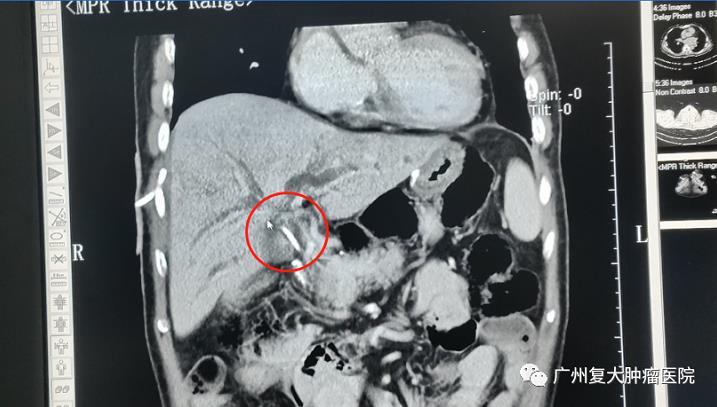
入院完善检查后发现,肝S2可见大小约2.0x1.5cm结节状低密度影,增强后静脉期肝实质隐约可见多个结节状低密度影。肝内胆管不同程度扩张,左右肝管汇合区胆管壁增厚,可见大小约1.2x0.8cm结节状软组织密度影,边界模糊,增强后可见不均匀强化。肝门部肿物活检结果显示,病变符合(肝脏)转移性腺癌,部分为印戒细胞癌,考虑为原胃癌转移。

▲入院检查
“只有解决了胆道梗阻,才能解决肿瘤。”介入科杨清峰主任表示,邹叔叔肿瘤虽不大,但长得位置却非常棘手,把肝胆管堵住了,这也导致他的黄疸一直降不下去。他的高位胆道梗阻是由肝门部淋巴结转移导致的,属于复杂性胆道梗阻,这种情况容易造成肝功能损伤。

▲肿瘤生长位置
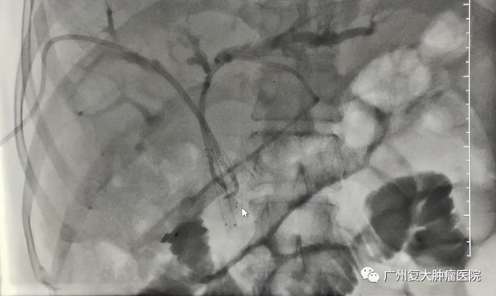
但患者之前在外院放置的内外引流管导致他出现发烧、寒颤、呼吸困难、胆道感染……在我院经过内科治疗后得到缓解。而接下来的治疗就是将内外引流管转成内引流,即置入支架,拔掉外引流,这样才能尽可能保留肝功能,为后续抗肿瘤治疗提供有力的保障。
“专家们多次研究后说我这个情况,可以用支架把狭窄的胆道支撑起来,疏通胆管。”但是支架只放一侧引流不充分,之后另一侧也没有机会再放支架,最好是同时放两个支架,但这个风险又太大。“我当时最多有4根引流管,4个引流袋,每一次呼吸都很困难,我总觉得自己活不了几天。”人们总说男儿有泪不轻弹,但他自己也悄悄哭过几次,他觉得自己很快就要跟亲朋好友说再见。“我想开车找个地方待着,不想治疗了,但是我爱人不肯放弃。”
在爱人的坚持下,在经过多次沟通讲解后,邹叔叔最终同意接受Y型胆道支架置入术,所幸的是,过程顺利,胆道引流通畅,他的胆红素以及胆道感染也得到了很好的控制。“术后徐院长告诉我,这个支架置入风险极高,成功率只有20%。”邹叔叔很庆幸,也感谢爱人的坚持和医生精湛的医技。


人文关怀暖人心
随着黄疸指数逐渐下降,肿瘤治疗也着手开始了。他先后接受两个疗程的肝脏介入治疗并联合化疗药物治疗,邹叔叔整个人的精神状况、身体状况恢复良好。“现在要是不穿病号服,别人还看不出我是个患者呢。”
两次入院,医德高尚、高超医技、博学医识……这是他们夫妇对复大的印象。为此,在此次出院之际,他们送来了锦旗以表感谢之情。“我也想过送一些‘物质’的,但是这里的医风就是不收受红包、不拿回扣、不接受吃请,连中秋我送块月饼都不行。”
邹叔叔表示复大从上到下,无论是大专家还是后勤人员,对病人的人文关怀都深入人心。“大家待病人如亲人,介入室那个护士邹四珍就跟自家妹妹一样,人美业务又好。”在这里医护人员没有架子,有什么问题都能及时得到解决,这让他既能了解自身情况,也能消除对未知的恐惧。他也带着这些关怀,回家休养,他希望自己能够向阳而生5年、10年、20年……


