“左肾上方实性占位,63×55mm,神经纤维瘤?脂肪肉瘤?”近日,广州复大肿瘤医院接收一位28岁的小伙子,他在几天前因身体不适到当地医院就诊,没想到彩超提示他左侧肾上腺区有肿块,还不小,可能是肿瘤。这可把小伙子吓坏了。
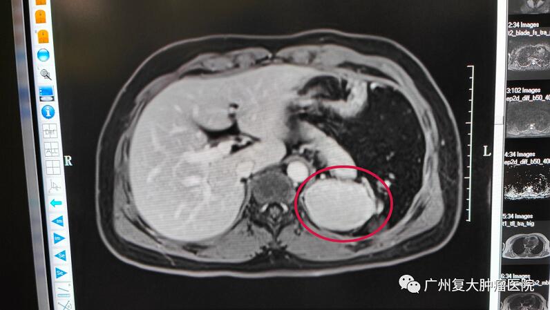
带着惴惴不安的心情,小伙子来到广州复大肿瘤医院就诊。入院后检查发现其彩超结果提示,左侧肾上腺区可见低回声肿物,边界清,内回声均匀,双肾血流灌注良好。为进一步诊断,小伙子又接受了上腹部MRI平扫+增强+DWI检查,脾脏缺如,脾脏术区可见大小约65×52×56mm团块灶,其内可见脾动静脉走行。

了解到患者几年前曾因车祸造成脾脏破裂,做过脾脏切除术,放射科李忠海主任结合影像结果及既往病史,认为该肿块并非肿瘤,而是副脾或残余脾脏代偿性增大。
副脾是什么?脾脏是人体最大的免疫器官,具有滤血、储藏血液的作用。一般来说,一个人只有脾脏,但也有特殊的情况,有少部分人会有副脾,也就是有两个脾脏,跟副乳的情况类似。

副脾是指正常脾脏以外存在的,与主脾结构相似、功能相同的组织。它具有独立的血管供应,因此即便患者因外伤行脾脏切除,副脾可代偿性的增大,替代部分脾脏的功能,从而可避免脾脏切除后机体的免疫力下降,引起严重的并发症。
副脾发生率约10-30%,其发生的原因可能是异位脾芽或者是因胚胎期始基芽融合不完全形成,也可能是脾组织脱离主脾之后发育而成的。与由外伤所引起的异位脾组织不同,副脾是先天发育的独立于正常脾脏之外的脾结节。所以可以大致认为,副脾是少数人体内,出现在了其他部位的“小脾脏”,没错,就是个备胎。
95%位于脾脏周围,尤其是脾门部,也可位于盆腹腔,甚至生殖器附近,容易同肿大淋巴结、胰腺、肾脏器官的肿瘤混淆。一般声像图表现为脾门附近呈近似圆形或椭圆形的实质肿块,边界清晰,包膜光整,内部为均匀细点状回声,回声强度与脾相似,但与脾分界清楚、部分副脾有与脾门动静脉相通的血管分支。

#副脾

#正常脾脏
副脾对某些特定的患者有着重要的临床意义,作为脾脏的“小备份”,对手术切除有功能的脾组织患者来说,副脾可能会代偿性的来补充原来被切除的脾脏的部分功能,说不定还有“备胎转正”的机会。
在得知自己的肿块是副脾而不是肿瘤,小伙子的心终于放下来,对医护人员甚是感谢,当天便兴高采烈地出院了。放射科李忠海主任表示,广大市民朋友在发现身体有异常时,先不要紧张,应该到专科医院就诊,以免造成误诊,耽误治疗时机。
专家介绍

李忠海副主任医师 放射科主任
毕业于内蒙古医学院影像专业。从事影像专业30余年,工作态度严谨,专业技术精湛。擅长肿瘤的影像学的诊断,对MRI-类PET技术有深入的研究,尤其对肿瘤转移、微创治疗后分析评估肿瘤坏死、肿瘤残留有更深的研究。曾发表专业论文10余篇,主编医学专业著作如《磁共振弥散加权及融合图像——在肿瘤诊治中的应用》,完成区级科研成果一项。


