2022年10月 13-15日,由巴西介入放射学和血管内外科学会(Sobrice)举办的SOBRICE 2022 • 第 25 届 Sobrice 大会在圣保罗召开。Sobrice大会已成为拉丁美洲最大的介入放射学大会,拥有最大的栓塞计划,吸引世界各地的学者参加。

此次大会设有介入神经放射学、血管内外科、肿瘤学、经皮、栓塞和 SOBRICE Junior六个小组委员会,其中广州复大肿瘤医院牛立志院长受邀参加本次大会并作《肝癌的纳米刀消融》的主题发言。


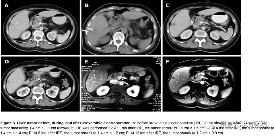
肝癌是最常见的恶性肿瘤之一,手术切除是治疗肝癌的标准方式,但肝癌起病隐匿,只有少数患者具备手术条件。近年来,局部热消融如射频消融(RFA)及微波消融(MWA)等方式因临床疗效确切及微创优势,已成为肝癌治疗的重要选择。
然而,局部热消融过程产生的高温会对组织产生无选择性破坏,因此对于治疗位于邻近重要管道如胆管或动静脉等高危部位的肝癌具有一定的局限性,同时由于“热沉效应”的影响,RFA等治疗方式的进一步应用受到限制。

纳米刀已被美国、欧盟等国家和地区批准进入临床应用。2015年,广州复大肿瘤医院率先引进纳米刀技术,并应用于胰腺癌、肾癌、肺癌及肝癌的治疗,其中完成治疗近千例,肝癌治疗380例。而随着纳米刀治疗肝癌案例的增加,国内外领域专家对于邻近肝门部、血管及胆管旁癌灶消融的有效性和安全性一直在持续观察、评估及讨论。

牛立志院长表示,从目前报道及临床资料来看,纳米刀消融技术是一种非热能消融术,具有消融区界限清晰、能保存被消融区的重要结构、不受大血管血流的热/冷吸除作用影响以及消融时间短等优点,可以给实质性肿瘤(包括早期肿瘤),或因患者年龄或合并疾病等因素不能耐受手术者,或因肿瘤大小、位置等因素不能被手术切除的,也难以被目前常规消融技术消融的患者,提供了全新的治疗手段,从而提高肿瘤的效应率,使患者生存受益。

IRE用于肝胆管癌
当然,纳米刀相关机制、理论、最佳的参数以及其治疗的安全性和疗效还需要进一步研究及更多的循证医学证据。纳米刀治疗肝癌,因其无热吸除效应,可完全消融临近下腔静脉、大肝动脉或门静脉结构的肿瘤,且不损伤这些重要结构。对治疗靠近肝门区、血管、胆管等重要结构的肝肿瘤较传统的消融方法具有明显的优势。

目前对纳米刀消融肝癌的适应证、禁忌证以及治疗参数仍需要更严密设计大样本临床实验,以期获取更多的研究进展,为临床治疗提供更高的参考价值。当然,作为临床医师,牛立志院长表示自己总是期望不断引进和应用新的治疗技术。目前已有多篇报道纳米刀与放疗、化疗以及免疫疗法的协同作用,他相信随着更多研究的开展,纳米刀将进一步提高疗效,造福更多患者。


