我院总院长徐克成教授和副院长穆峰博士应丹麦癌症协会邀请,于2008年10月13~18日访问了丹麦,与丹麦癌症协会和丹麦大学、Aarhus大学的教授、专家进行座谈,访问了曾去我院治疗的病人,他们回国后完成了“丹麦访问之旅:聚焦胰腺癌的治疗”一文,发表于2008年11月21日,《健康报》第8整版专题报道。
现转载如下:
丹麦癌症协会邀请
2008年10月初,丹麦女士郭林传来信息,丹麦癌症协会(Danish Cancer Society)邀请我们去丹麦访问,重点讨论进展性即中晚期癌症病人能不能长期生存的问题。而据正在我院住院的丹麦病人说,丹麦国内正在争论一个问题:应该不应该去中国治病?据说问题的起因于几位胰腺癌病人。
今年6月份,丹麦最大的日报以两整版发表了一位胰腺癌患者叫郭林(Gurlin)在中国治疗的的经历,配了多幅照片;几乎同时,丹麦最大的电视台TV2 报道了对郭林访问,其中有电视台跟踪郭林在中国治疗的录像。媒体的报道中,不无批评本国医院之意。
大约也在6月份,丹麦驻广州总领事馆总领事先生欧阳博在官邸约见我们。他让我们看丹麦报纸传真复印件,上有丹麦病人郭林在我院治疗的文章。总领事先生与我们热烈握手,表示感谢,但也流露出惊异,说:“我们从没有想到有这么多病人来到广州治疗,更没有想到在你院我们的癌症病人起死回生。”
稍后,丹麦癌症协会的两位专家来到我院,看望正在住院的丹麦病人,随同的丹麦TV2记者跟踪拍摄。
丹麦政府有一法律:严重疾病患者,主要是癌症患者,如果本国无法治疗,可有second opinion (第二选择),到外国诊治,费用由国家支付。可去的国家主要是美英法德等发达国家,但不包括中国。争论可能由此而起。
我们不想介入丹麦国内的争论。但丹麦癌症协会一再请病人传话,希望我们访问丹麦。丹麦病人对该协会颇有好感,说他们更多的是站在病人立场上,为病人谋求最好的治疗。丹麦癌症协会在电子邮件中十分诚恳地说:“我们关注每一个癌症患者,尤其中晚期癌症病人的生存受益。盼望你们来丹麦,看望曾在你院治疗的病人,和我们的医生一起讨论,从而开始我们的真诚合作。”
丹麦癌症协会的邀请让我们感动。但“看望病人”和“一起讨论”,分明有“考核”之意。我们感到这次丹麦之旅并不轻松。
郭林举着中国国旗欢迎
十月十四日,经过九个半小时飞行,当地时间晚六点半,我们乘坐的北欧航空飞机降落在哥本哈根机场。在机场出口处,一位女士手举中国国旗站在那里。她就是郭林。几个月不见,她变得年轻了,穿着风衣,面色红润,两眼在挂满笑容的面盘上炯炯发亮。我们像亲人般见面。看到郭林的深情,我们十分高兴,看来她从重病噩梦中活过来了。
去酒店路上,郭林告诉我们:今天已作PET-CT,明天上午看结果。我们的心一下子紧张了,虽然仍谈笑风生,郭林不断告诉我们接下来几天的活动,包括丹麦大学医院肿瘤科邀请我们交流,丹麦最大电视台TV2跟踪采访,丹麦抗癌协会有权威的医生要请我们讲座,但是我们在想像:明天郭林的检查结果出来,如果显示复发,怎么办?……我们不敢想象。夜间,我们不约而同做着同样的梦:郭林和他的病……我们也不约而同的早早醒来,默默地想着上午与郭林的见面……我们不是基督徒,但处在基督徒占百分之九十的丹麦,我们不约而同在祈祷:上帝保佑……
第一场“考试”
像学生时代考试等待老师发卷那样,十五日上午十点,郭林在酒店大堂等待了。我们匆匆下楼,看到郭林笑的十分灿烂。我们迫不及待的从郭林手中接过PET-CT报告,直看结论:未发现任何癌肿存在证据。
什么是幸福?幸福是一种感觉。此时,我们感到我们是最幸福的人。郭林的女儿也来了,面庞同样扬着快乐。我们和她们一个个拥抱,充满着高兴、祝贺、成功的拥抱。在一旁等待多时的丹麦TV2记者摄下了这珍贵的场面。我们通过了来丹麦后第一个“考试”。
郭林患的是胰腺癌,是一种被称为“癌王”的癌症,能手术切除不超过5%,即使切除,能生存一年者不超过20%。伴肝转移者属第四期,中位生存期2.8个月。去年十月,郭林感“胆囊痛”到医院检查,发现胰腺内有2.8厘米大小肿块,肝内有3个肿块。意外的发现让她几乎“休克”,她在丹麦最大的医院接受了活检,一周后结果出来:胰腺癌伴肝转移。医生没有隐瞒她,告诫她可以化疗,但不管什么治疗,生命可能只有两到三个月。她接受了以健泽为基础的化疗,尽管她知道这种治疗不会给她带来实际好处,但这是每个癌症病人似乎都必需经历的常规。她每天都在担心这些治疗的副作用。她准备在头发掉光后安然离开世界,不给她的丈夫和女儿带来痛苦。
郭林的丈夫是设计师,她有两个女儿,四个外孙。她的家人对医生的告诫不能理解,甚至有点愤怒。他们想让郭林到国外治疗。郭林 的女儿查阅了世界文献,发现对她母亲这样的胰腺癌,除了化疗还是化疗,生存期最长就是三到六个月。她失望了,暗暗的大哭了一场。几天后,一次在网上看到一篇名叫里拉(Lena)写的文章,讲述她在中国治疗经过。这位女士患胸椎软骨细胞骨肉瘤,在丹麦接受手术,术后病情进展,下肢瘫痪,转往美国接受高剂量化疗和干细胞移植,瘫痪治好了,但并发败血症;经抗感染治疗后,败血症好了,但肺部和胸壁出现十几个转移灶。她来到中国,在我院接受了冷冻治疗,病情控制了。郭林的女儿找到了里拉进行咨询,她决心救她的母亲。
丹麦的医生听说郭林准备去中国,直言不讳的说:“你们发疯了!”郭林没有听她的医生的阻挡。她和丈夫毅然卖掉位于哥本哈根市中心的大房,换了一套有一房的小房,变出一笔钱,直飞中国。
初尝丹麦医生的诚恳
来丹麦前,正在我院住院的丹麦病人告诫我们与丹麦医生交往要谨慎,他们甚至怀疑我们这次应邀是这些医生的“圈套”,是想找我们的岔子。但我们相信,不管在哪里,真正的医生是会尊重科学和事实的。
十月十五日,我们应邀到到丹麦最大的丹麦大学Rigs医院(Rigshospitalet)。有着八十五年历史的这家医院,是北欧最著名的医疗教学科研中心,有1100张床位,7000名工作人员,承担丹麦全国人口30%的医疗任务。医院肿瘤中心主要作化疗和放疗。放射科特别强大,仅PET-CT即有5台。有13台加速器,每天有250人接受放疗。
郭林陪我们到医院主楼七楼。刚走出电梯,一位高高个子的中年男人就迎上前来紧紧握住我们的手。他就是这家医院肿瘤中心主任,Masse 教授。他一边热情同郭林打招呼,一边对我们说:“她身上发生了奇迹。”他的见面语一下子让我们消除了不安。
Masse教授领我们穿过长长走廊,走进小会议室,里面已坐着他的同事。我们主要讨论了胰腺癌的治疗。Masse教授说:他们注意到几例从我院治疗回来的胰腺癌病人。他们医院每年接受治疗的胰腺癌病人200余例,能作根治性手术者仅占7%。对转移性胰腺癌,例如伴肝转移者,化疗/放疗的客观反应率低于5%,生存期十分有限。
我们重点介绍了应用冷冻加125碘粒子植入治疗进展期胰腺癌,向他们提供了发表在世界胃肠病杂志(WJG)上的论文。49例进展期胰腺癌患者治疗后,1、2和3年生存率分别为63.1 %,、22.8 % 和9.5 %,有8例生存1年以上,最长一例无病生存已4年3个月。这一成绩远超过文献报告的结果。我们报告的该49例没有包含丹麦病人。
我们的报告引起争议。主要问题是:(1)进展性胰腺癌无例外都有血管和淋巴侵犯,冷冻,特别经皮冷冻,怎能消除这些胰外病变?(2)如何避免冷冻针穿刺引起胰腺炎并发症?(3)冷冻区边缘的温度是零摄氏度, 而使癌细胞致死的最高温度是零下40摄氏度,如何保证肿瘤周边区癌细胞被冻死?这是我们预计到的,因为半年前我们的论文发表之前,国内外的审稿专家就曾提出过。
对于第一个问题,唯一的推测是冷冻消融了肿瘤,引起癌抗原释放,促发机体产生抗肿瘤免疫,将残存癌细胞消灭。我们出示了一例齿龈癌伴淋巴结转移的PET-CT图像,仅对齿龈癌作了冷冻,淋巴结转移未治疗, 冷冻治疗后1个月复查PET-CT,发现原发灶和转移灶均消除了活性。我们又显示了一动物实验:给鼠的两侧腹部制造实验性移植瘤,给一侧的肿瘤进行冷冻, 一个月后,对侧瘤也消失,而手术切除一侧瘤不能产生类似结果。
对于第二个问题,担心是合乎逻辑的。胰腺是体内最大外分泌腺,富含消化酶,粗达2毫米的冷冻针穿入,会引起消化酶外溢,导致胰腺炎。但在我们报告的49例中,仅1例并发出血坏死性胰腺炎,经保守治疗恢复。我们介绍了一项实验,表明这种并发症的发生与冷冻方法有关。10只狗接受胰腺缓慢降温冷冻,9只并发重症胰腺炎而迅速死亡,另10只狗接受快速超低温冷冻,仅1只因并发胰腺炎死亡。急剧降温使胰腺内组织快速破坏,局部形成凝固性坏死,阻止了消化酶释放,从而避免胰腺炎发生。我们冷冻胰腺肿瘤采用氩氦冷冻系统,冷冻探针顶端的温度在几十秒内降至零下160摄氏度,因此不易引起胰腺炎。
对于第三个问题,我们告知了我们的做法:①将冷冻范围扩大到肿瘤外至少1厘米,保证“1-cm安全边缘”;②联合其他治疗,包括125碘粒子植入、 免疫药物注射。
我们的解释赢得了与会者的赞同。Masse教授十分高兴,带领我们参观了面积足有3 000平方米的放射科,反复对我们说,他和同事希望访问我院。他说,你们能让郭林这样的胰腺癌病人生存下来,说明你们在肿瘤综合治疗方面作出了很好成绩。Masse的一席话,显示了丹麦医生的直率和诚恳。
郭林的“生命奥运会”
结束了在丹麦大学医院的学术交流,告别Masse教授,准备回酒店休息时,在医院大门口,郭林已等在那里。她手一扬,快步领着我们上了汽车。我们到了丹麦最有名的海湾,在著名的美人鱼旁照相。入夜后,灯火逐渐亮起。行人很少。郭林带着我们沿着城中河岸散步,听着她滔滔不绝的介绍,我们更多的感受到她从死亡线回来的幸福……
郭林领我们进一西餐馆。坐定后,我们谈起了她的疾病。她眼睛红了,我们一阵沉默。空气变得凝滞了。但仅仅一分钟,沉静的郭林深情地开口:“中国确实变了,变得那么伟大。中国救了我,你们医院救了我,给了我新的生命。我要向你们CCTV呼吁,让我上台讲我的经历,讲中国的伟大。中国举办了震撼世界的奥运会。对我个人来说,我在中国也开了一场生命奥运会。我爱中国。”
“生命奥运会”,作为一个中国人,在离中国近万公里的异国,听到一位纯西方人讲出这样的话,我们的心一阵颤动,眼泪脱眶而出。餐厅光线很差,餐台上的腊灯火焰不断跳跃,为郭林的这席话增加了凝重感。郭林拿起餐巾不断擦泪。
我们交谈起她的家常。郭林一生总是在从事对困难人群的教育工作。十多年前,她在弱智成人学校当教师,同时兼做物理治疗师,为残疾学生进行康复治疗。一做就是十几年,她做得很有成就感,自己也充满乐趣。周边国家纷纷请她去训练教师。近年来,她改做成人职业教育,但她仍然认为以前为弱智人的服务最有意义。她说:让他人得到益处是幸福。
她说CCTV世界有名。她想让全世界所有胰腺癌病人知道:中国有治疗这种绝症的方法。通常,病人是不想公开自己病情的,何况得了被认为只有几个月生存期的胰腺癌。郭林的想法和期望是需要勇气的,没有对困难人群的爱,她绝不会有这样的勇气。
第二场“考试”
十月十六号早,我们匆匆吃了早餐,就赶往离我们住的酒店只有十分钟车程的丹麦癌症协会。在一栋古老楼房的大门口,郭林和一位中等身材的女士已在等候我们。这位女士叫阿芬(Rith Aarfen),几个月前,就是她和另一位医生到我院访问。见面问候后,阿芬领我们进入会客厅,里面等候的专家一个个站起来和我们热烈握手。我们看到程序表,在这里有25分钟的停留。桌上有咖啡、茶、蛋糕等,我们还没有来得及享用,主人就开始介绍了。丹麦癌症协会是丹麦唯一的癌症社团组织,工作人员600多人,下设包括分子生物学和流行病学的多个研究所或研究室,与全国各个医院的肿瘤专科由密切联系。他们收集了全国所有癌症病人的资料,追踪每一个病人从生病到死亡的全过程。看来郭林理所当然的被列为他们的跟踪对象,因为当我们在楼上楼下参观时,许多人见到郭林纷纷与她打招呼。
我们接下来参观分子生物学研究所。专家向我们介绍了他们怎样通过检测多个基因,制定癌症的治疗方案和判断预后。
西方人办事一丝不苟,我们的参观程序和他们的介绍细致到分钟,但在程序中有大约五分钟的空白。主人领我们到接待室,意外事发生了:啊!这不是曾在我院治疗的病人吗?留着大胡子的高个儿男子,一付电视里常看到的北欧人彪悍形象,一下子让我想起半年前在我院三病区住院的胰腺癌患者。男子的太太患胰腺癌,记得肿瘤很大,有4.5厘米。再看病人面色,红润,满头白发下一对大眼睛,清晰明亮。她叫比瑞特(Berit Urvang)。不知是偶然相遇还是主人有意安排,想考考我们在治疗胰腺癌方面的成绩,我们不得而知。郭林和主人不约而同相视几秒钟,随之都会意笑了。我们还来不及询问病人情况,主人就严格按照程序,将我们领到癌症流行病学研究室。刚坐定,屏幕上就显示出近十年来各种癌症的发病率和死亡率,其中胰腺癌每年平均有新病人746例,死亡777例,换句话说,几乎全部死亡。主人介绍说:“这是一可怕的疾病,我们几乎束手无策。”我们赶快看陪同我们的郭林的表情。还好,她没有特殊反应,也许她已早有思想准备了。
我们记挂刚见面的病人比瑞特。当主人邀请我们走进餐厅时,比瑞特夫妇已坐在餐桌旁等我们了。我们回忆起她的治疗经过。今年初,比瑞特在北京某医院住院。该院打电话请我院牛立志博士会诊。牛博士在一星期天赶到北京,为比瑞特的胰腺癌作了冷冻治疗。回来后他告诉我们,说病人的肿瘤很大,冷冻时花了很大气力。二个月后,比瑞特来到广州我院复查,发现肿瘤消失掉90%以上,在我院又为她作了第二次冷冻,在冷冻区边缘植入放射性碘粒子,同时又作了复合免疫治疗。半年多了,按一般规律,这样的胰腺癌往往已扩展至不可收拾了。但出乎意料,她现在外表几乎看不出她是病人。我们问她:“你能吃吗?”她说:“胃口特别好。也许吃的比你们多。”“体重有没有减轻?”她丈夫说:“生病后在北京时,体重减了十公斤,从广州你院回来后,长了六公斤。”说:“我现在怕体重增加,因为肥胖促进胰腺癌的发生。当然,我也怕体重减少,因为胰腺癌的首发症状就是消瘦。”她的回答很专业化。啊,我们忘记了,她本人原来是护士。我们问她有未复查?他们告诉我:已查了PET-CT,等明天医院出报告。在一旁的癌症协会主人马上说:“对不起,我们临时为你们增加一安排。明天请你们去访问Aarhus大学癌症医院,比瑞特就是在那里看病和复查的,那家医院的研究所主任Jens Overgaard教授非常想见你们。不过,”主任狡黠一笑,“你们要当心,他可是丹麦最出名的喜欢挑剔的人。”是巧合吗?正是在那家医院比瑞特被诊断出胰腺癌,明天也将在那医院看复查结果。癌症协会主人告诉我们,去参观的所有费用均由他们负责,并委派郭林陪同我们。看来,不管是有意还是无意,我们都面临来丹麦后的第二场“考试”。
去Aarhus“应考”
今天是我们到达丹麦后的第四天。郭林陪我们乘火车去Aarhus,访问那里的癌症医院。
在那里我们将接受有一次考试。我们不太顾忌Jens教授“苛刻”的提问,主要担心比瑞特的PET-CT检查结果。我们翻看昨天癌症协会给我们的Jens Overgaard教授论文一览表共12页,上面是发表在世界著名期刊的论文题目,共有200余篇。真是一位大牌专家。郭林也许看出我们的心思,指着这张纸笑着说:“我们丹麦医生很会为病人算命。就是他这家医院的医生对比瑞特说,她只能活两个月。”
Aarhus大学癌症医院有五十年历史,是丹麦最大的癌症临床中心。Jens教授和他的助手,在医院实验中心迎接我们。刚坐下,Jens教授的助手首先发问:“丹麦的报纸和电视几次报道,说你们治愈了晚期癌症患者,你们是怎样治疗的?”发问明显地带有攻击性。我们说:“报道不对。我们从没有说治愈,对于丹麦的这些在我院治疗的病人,迄今只能说改善,提高了生活质量,使生存获益。” Jens教授笑了:“对。我了解了在你院治疗的病人,比如一位晚期胰腺癌女士,是我们这个城市的人,迄今很好。这已经是让我们惊奇的了。”他指的就是比瑞特。教授看来是一非常细腻的人,他对我们一定预先做过调查。
饭后,Jens教授和他的助手陪我们参观了他们的几乎全部科室。最后进入他的实验室。
刚喝完一杯咖啡,交流就开始了。我们用多媒体介绍了我院冷冻治疗3580例癌肿的经验。Jens教授和他的助手不断发问,特别对胰腺癌、肝癌和肺癌治疗前后的CT图片,往往让我们停下由他们一点点研究,当我们显示肝癌和肺癌患者生存期时,Jens教授马上问用什么方法计算的,统计学检测用什么软件?
接下来,我们更多的是讨论。从他们的论文我们知道,他们在研究癌症的危险因素、预后指标和改善生存率的措施。他们没有从事冷冻治疗,但他们在作热疗研究。Jens教授建议我们双方合作,他说:“你们提供的这些病例很有说服力。晚期癌症尤其是胰腺癌的治疗是世界性难题。应用新技术很有前途。但传统的观点不是容易被说服的。建议将你们的实践和我们的研究结合,用循证医学总结你们治疗成果。”教授的建议很快将我们的交流提高到新水平。这时,我们才理解丹麦癌症协会安排我们来此访问,并非要“考”我们,而是看重我们,希望共同出成果。当然,病人的“考试”还是不能回避的。
讨论结束后,“考试”就开始了。我们在教授和他助手陪同下,刚走到医院大堂,就看见比瑞特和她丈夫等在那里。我们从病人手中取来PET-CT的拷贝CD,装进电脑阅读起来。谢天谢地,没有看见癌肿复发。病人和她丈夫拉着我们马上照相。一个被认为只有二三个月生命的人,竟然活了一年,而且还在继续无病生存下去,其心情,其感受,是正常人无法体会的。我们看教授和他的助手也在笑。医者父母心,这句中国的成语,看来对全世界的医生都是适用的。教授说:“我们将会访问你院,也希望不久的将来在这里再次接待你们,那时希望你们有充裕时间欣赏我们这座城市的美韵。”
热情丹麦人
十月十八日晚,郭林和她女儿在著名的Tivili公园设宴欢送我们。丹麦癌症协会的阿芬医生和她的儿子赶来作陪。郭林给两个外孙分发礼品。我们问郭林哪些场合要给外孙送礼物?她说就像今天这场合。原来她最近复查身体OK后,女儿就要为她庆祝,已定在明天星期天在大女儿家。今天她是乘我们在时自己先庆祝一番。给孙儿送礼是她最开心的事。陪同吃饭的阿芬医生今天很高兴。她说我们这次访问,协会让她安排接待,她感到十分荣幸。她说癌症病人让她更了解中国。今年五月份,丹麦报纸登载了里拉小姐写的文章,讲述自己在我院治疗经过。她首先向癌症协会要求到我院访问。当她亲眼看到许多病人在我院接受治疗后病情改善,原来认为不治的病人长期生存下来时,她相信中国确实发生了变化。
晚餐是各人选一道菜。虽不像我们吃的中餐那样丰富多彩,但这家餐馆自酿的啤酒和优美的轻音乐,让我们体会到什么是丹麦特色的饮食文化。突然郭林欢叫起来:“快打开电视TV2。”原来她接到记者电话,马上要播放这几天记者跟踪采访我们的新闻。
七点刚过,随着女主持的出场,屏幕上显示郭林在漫步、我们接受采访、丹麦癌症协会专家和丹麦大学Rigs医院Masse 教授在评述。解说是用的丹麦语,大意是:郭林患了可怕的胰腺癌,中国医生为她治疗得很好,丹麦医生很赞赏……。节目一结束,餐馆内客人一下子拥到我们周围,争先恐后上前与郭林和我们握手,一片“congretulation”(祝贺)声,有的拿出当场能取得的纸,让我们签名,有的向我们索取名片,有的则送上他们的名片,希望我们将资料用电子邮件发给他们。有一留着长胡子的老者,拉着我们的手,说:“整个北京奥运期间,我天天看中国。 今天看到来自中国的专家,太高兴了。 中国伟大。”
任重道远
带着丹麦人的热情和顺利通过“考试”的兴奋,我们在十月二十日结束丹麦之旅,回到广州。第二天早晨一上班,我们就到病房看望病人。走进八楼,就看见一身高近两米的白人在走廊散步。主管医生告诉我们,他也患胰腺癌,这是第二次来院检查。我紧张了,马上问结果如何。主管医生回答:肿瘤消除90%,未发现转移。这位病人来自丹麦一个边远小岛,他告诉我们,那里的地方政府有自主权,允许公民第二种选择来中国。他说:“现在我们那里的人,生了癌症,当地无法治疗了, 就到中国来。”
这时,我们见到一位来自瑞典的病人,患眼黑色素瘤伴多发性肝转移。他说,他了解我们医院曾成功地治疗一类似病情的病人,因此他来到我院。我们告诉他,那是一位来自江苏的病人,预期生命只有3个月,后来在我院经过冷冻加免疫治疗,肝内病变大部消失。但仅活存3年5个月,很遗憾。“3年5个月,41个月!了不起!”瑞典病人惊异的说,“ 我们国家医生说我只能活3-4个月。我只要再活12个月,就心满意足了。”
“无法治疗了就到中国”,“再活12个月就心满意足”,这些就是癌症病人的心声。短短一周的丹麦访问,让我们非常兴奋,因为用于“考核”的郭林和比瑞特的PET-CT上已无胰腺癌的证据,但我们清楚,癌的复发是随时可以发生的,尤其是进展性胰腺癌。按我们的经验,联合免疫治疗能较好预防复发。我们已请她们返院接受这种治疗。虽然让象郭林和比瑞特这样的胰腺癌患者长期生存下来,仍然任重道远,但我们一定要百倍努力。

哥本哈根之夜

郭林举着中国国旗在机场迎接

在丹麦大学Rigs医院交流胰腺癌治疗

在丹麦大学Rigs医院放疗科
![]()
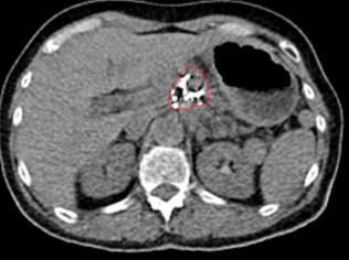
比瑞特的CT图示治疗前胰腺头体部巨大肿瘤,活检腺癌

治疗后10个月复查CT,显示病变显著缩小,PET上无活性,提示肿瘤坏死

在丹麦著名儿童作家安徒生雕像前

在哥本哈根著名美人鱼雕像前

在丹麦癌症协会。背景是该协会防止乳腺癌的标志。右1是协会医生阿芬

与丹麦癌症协会专家会谈

郭林陪同乘火车往丹麦第二大城市Aarhus

在Aarhus 大学肿瘤医院实验中心

在Aarhus 见比瑞特和她丈夫,右2是郭林

丹麦电视2台正在播放中国医生治疗胰腺癌病人的专题



