
肿瘤治疗需要多种治疗手段。根据患者的病理分析结果来确定实施哪一种治疗手段。比如,早期的肿瘤,大多数还是以手术为首选。但是,很多肿瘤患者等到确诊时身体状况愈下无法耐受手术或者患者本人抗拒手术,这种情况下,可以考虑局部消融的方法。
以肺癌为例,对于一些转移性肺癌,绝大多数已经不适合手术(也有一部分依然可以手术)。对于转移数量不多的寡转移患者,可以采取局部的消融治疗,也可以采用放疗。但是,放疗有一些远期的并发症,比如说放射性肺炎等等。
所以,对于转移性肺癌,消融是一个比较好的选择。这一天,暨南大学附属复大肿瘤医院副院长牛立志开展了两台手术,两位患者都是肺癌患者,但是复大肿瘤医院的专家团队采取了两种不同的疗法,这是为什么呢?
乳腺癌肺转移该怎么办?

乳腺癌
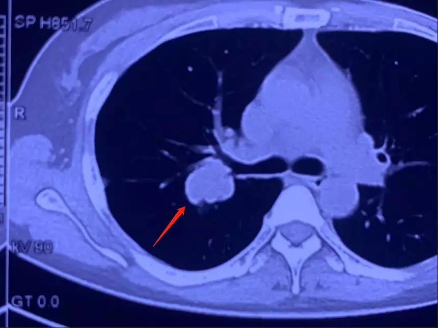
前几日,复大肿瘤医院来了一位乳腺癌患者刘阿姨。刘阿姨之前做了手术,后来出现复发情况。通过检查发现,右肺靠肺门的地方出现了转移,由于所处于的位置比较特殊,实施传统手术需要切除一个肺叶,这样会对刘阿姨的身体伤害很大。复大的专家团队对刘阿姨的病例进行了分析讨论,认为在这种情况下,消融是一个很好的选择。

冷冻手术中


刘阿姨在半年前因为肺部的转移已经做过一次消融,那个病灶控制的比较好。而这次这个病灶是新生的,所以复大的专家团队决定还是采取消融的方法来处理。手术由牛立志教授主刀,牛立志教授在CT引导下将冷冻针插进了病灶,因肿瘤靠近肺门,所以牛教授将针插进肿瘤边上,避免伤及气管,手术非常顺利,病灶被消灭,刘阿姨身体状况良好。
对患者采取最合适的治疗方案

肺癌
今年58岁的洪叔叔是一位原发性肺癌的患者,肿瘤的位置在右上肺,身体状况良好。可以承担手术,但是他本人比较恐惧做手术。在一位朋友的介绍下,洪叔叔来到了暨南大学附属复大肿瘤医院寻求冷冻消融的办法。
但是,通过CT检查发现洪叔叔不能排除有淋巴结转移的情况,经过复大的专家团队的评估,于这样早期的肺癌,冷冻消融的办法只能把原发病灶处理掉,但像洪叔叔对于这种有淋巴结转移的早期肺癌患者,手术还是首选,才可以达到根治的目的。为此复大的医生第一时间跟洪叔叔和他的家人谈了这件事情,可是洪叔叔还是表示很害怕手术,希望只做冷冻消融治疗,不接受手术的方案。


得知情况后,牛立志教授多次到洪叔叔的房间查房,耐心劝导洪叔叔,表示他的这种情况下手术治疗更为彻底,是标准的治疗方法。牛教授讲了许多医院其他类似洪叔叔的早期肺癌患者的例子,经过手术都得到了彻底的治疗。本来,洪叔叔都比较抗拒手术,但是经过牛立志教授和医院医生同事的反复动员和解释,最后,洪叔叔说:“既然牛教授都这么坚持让我做手术,那么手术肯定是对我最好的办法了。”
手术顺利行右上肺叶切除加系统性淋巴结清扫,术后病理分期是一个1A期肺癌,就是早期肺癌,病人完全康复出院,有望完全治愈。就这样,一个难关被攻克了。目前,洪叔叔身体状况良好。

手术中

复大肿瘤医院的医护人员每天都要面对无数大大小小的患者,复杂的病例,各种各样的患者心理,但是,复大的医生们一直秉持着“厚德行医,医德共济”原则,要消除患者身体里的病灶,首先要消除患者心理的病灶。
牛立志教授表示:“同一天,一个适合冷冻消融的患者,我们为她做了消融手术;一个适合做手术的患者,我们不应该因为只做冷冻治疗风险小,就采取简单的办法。任何情况下,都应该全面评估患者的情况,找到最合适的方案。在患者出现抗拒、疑虑心态的时候,要耐心的劝导、解释、消除恐惧心理。总而言之,对合适的患者采取最合适的治疗方案。如今,对抗肿瘤有很多种武器,只选最合适的。”


