
导读:
十二指肠壶腹部癌比较少见,约占胃肠道恶性肿瘤的0.5%,但是壶腹部癌因起源不明、发病率低、周围解剖结构复杂,加之在生物学特性、生存率等方面存在较大差异,所以一直是临床和病理学研究的难点。目前有一位十二指肠壶腹部癌症患者在暨南大学附属复大肿瘤医院就诊。
患者采访笔记——
“似亲人而非亲人,带来贴心治疗!”

2019年9月25号,暨南大学附属复大肿瘤医院接到一位因腹部疼痛入院治疗的患者,姓龚,江西宜都人,79岁高龄,以前曾在林场当测量工。入院通过了解,知道此患者曾在2019年9月19日-江西省于都县人民医院-腹部CT检查结果提示:胃窦部壁增厚,胆总管及主胰管轻度扩张,提示下段梗阻可能,当地医生为患者做过胆囊引流处理。通过详细的检查,龚先生被诊断为十二指肠壶腹部腺癌、上消化道梗阻。

正当我们寻找采访对象时,在医院过道的沙发里我们碰到我们所要采访的主人公——龚先生。他正拿着一份报纸阅读,一副古铜色的脸孔上,镶着一双亮光闪闪的眼睛,花白的短寸发,脸上浮着红云,显得精神抖擞。在几番交谈后,龚先生甚是喜悦。
Q1:龚先生,听说你两周前做了一个手术,现在感觉如何?
龚先生:没什么感觉,什么时候动的手术我都不知道,出来的时候我就在病房醒了,唯一感觉最大的变化是我进食顺畅了,可以如愿吃东西,之前吃什么都不行,太受折磨了,现在吃的好,睡得也好啦。
Q2:那么龚先生,你还记得是什么时候发现自己身体不适?
龚先生:我以前检查十二指肠有息肉,还是七八年的事情,那时医生让我戒烟戒酒,这两样东西陪了我多年,哪那么容易戒掉。这次发病大概是八月底,那天天气很炎热,我如往常一样在家做饭,我这人很爱喝酒,一顿得喝个二三两,喝完酒后肚子很难受,然后去镇上的医院抓点药吃,吃了几天后还是不行我儿子就把我接到人民医院做检查就诊。
Q3:那么龚先生怎么想到会来复大治疗,感觉复大怎么样?
龚先生:我有3个儿子和2个女儿,是我最小的儿子送我到这里的。听说他的老丈人,好像因胃癌曾在复大接受过治疗。我觉得这里的护士小姑娘真的很不错哎,服务非常好,一到做检查的时间,都会搀扶我坐轮椅推着我去做检查;为我导尿处消毒擦洗;在给我伤口换药的时候,会跟我提前打招呼,处理伤口很轻,还会细心的察看我缝合处愈合情况;这个我在之前的医院还没享受过,她们对我就像真的亲人一样。
医生采访笔记——
“解除病人的痛苦,是我们的职责!”

他有一头清爽发型,带着黑框眼镜,亦如学生时代学长的样子,让我看不出他是一个有经验的医生。他说,因为面相看着年轻,老是被误以为是学生,也是常事。
暨南大学附属复大肿瘤医院海珠区 医疗五科 金启萌主管医生
Q1:金医生,你可以给我们简单介绍有一下什么是十二指肠壶腹部腺癌,它的手术难度在哪里?
金医生:十二指肠壶腹部腺癌起源于十二指肠乳头及乳头附近的黏膜、壶腹内的黏膜、胰管及胆总管十二指肠壁间部黏膜上皮。大部分患者早期无明显临床症状,出现症状入院检查的患者病情大部分都为中晚期。十二指肠壶腹部腺癌根治性手术难度主要在于手术切除范围大,术中吻合复杂,术后可能出现并发症多且一旦出现术后并发症就可能危及生命。龚先生入院后,我们也曾建议过行肿瘤根治性手术,但由于龚先生年纪较大,家属担心他无法耐受较大手术,不考虑行根治性手术。结合家属的要求和龚先生入院后的病情,我们综合考虑相关治疗方案,最终在杨波副主任医师和我院肿瘤外科医师共同努力下在2019年10月8日顺利完成了全麻下“胆肠吻合+胃空肠吻合+空肠R-Y吻合术”。
传统手术做法



Q2:对于像龚先生这样的患者该采取怎么治疗?
金医生:首先是调理身体,增强体质,这样才能为后续的治疗做好基础,考虑龚先生年事已高,家人也不想让老人家折腾,可能会优先考虑局部微创治疗和化疗,微创治疗我们推荐我院特色微创治疗方法不可逆电穿孔消融,也就是纳米刀消融治疗。

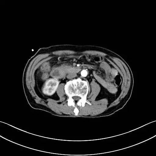
十二指肠壶腹部腺癌情况
什么是纳米刀消融疗法?
纳米刀是一种非热能的新型肿瘤消融技术,源于不 可 逆 性 电 穿孔( Irreversible Electroporation, IRE),它通过释放高压脉冲在肿瘤细胞上形成纳米级永久性穿孔,破坏细胞内平衡,使细胞快速凋亡。
2012年4月 美 国FDA正 式 批 准 纳 米 刀 应 用 于 临床。2015年6月在中国批准应用于临床,广州复大肿瘤医院成为中国大陆率先引进纳米刀的医院,并成功完成首例纳米刀胰腺癌治疗。截止2019年以来,复大已完成纳米刀手术近500例。
适应证:
纳米刀适用于肝、肺、肾、胰腺、前列腺以及其他实体肿瘤,尤其对靠近肝门区、胆囊胆管、胰腺、输尿管的肿瘤具有独特优势。
优势:
A ●消融时间短;
B ●治疗彻底,治疗边界清晰;
C ●治疗过程能通过超声、CT和MR进行影像导航和实时监控;
D ●疗过程能通过超声、CT和MR进行影像导航和实时监控;
E ●消融过程不产生热量,也不受外界温度影响,即不受热池效应影响;
F ●治疗区域通过细胞吞噬作用清除凋亡组织,促进正常组织的再生与修复;
G ●可适应更多复杂的病情,如靠近血管、胆管、胰管、肝门静脉等危险区域的肿瘤,以及前列腺肿瘤或者脊椎附近的肿瘤。
Q3:很多患者在患病后情绪波动比较大,你会如何劝慰病人?
金医生:很多患者在患癌后情绪都会很低落,甚至会绝望。在就诊的时候我们都会尽量给予他们信心与希望。医生最重要的不仅是“医病”,还要学会“医心”,减轻病人的痛苦,给病人信心的力量,尽可能的改善他们的生活质量,延长他们的生命期。
患者家属采访笔记——
“情系患者,得到最真挚的服务!”

在我们采访临近结束的时候,恰逢遇到龚先生的三儿子,他很高兴接受我们的采访。
Q1:龚先生,怎么会想到给医护人员送锦旗?
龚先生儿子:作为患者家属,我们看到我父亲在这里病情得到了缓解,他们确实在实际上解除我父亲的病痛,因为我的老丈人也是在这里医治过,得到很好的照顾。所以这次义无反顾的送我父亲过来接受治疗。送锦旗一是为了感谢医护团队对我父亲的治疗和照顾,让我们从心灵上感受到那份真挚的情感,这是很难得。二是我觉得他们值得被表彰一下,以此鼓励他们更好的对待下一个病人。


