
去医院检查,经常遇到这样的情况,事后医生会指着片子上某处很强的光点告诉你说,这里有点钙化。
多数人听到这两个字,可能不会太紧张,只不过是几个小亮点嘛,有什么关系?继而对它置之不理,可没想到,再过一段时间检查,它竟已是癌症了。这是什么原因呢?
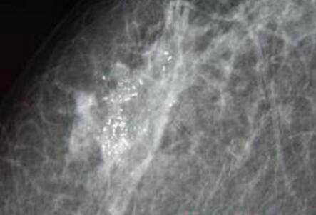
事实上,钙化是乳腺癌最常见的影像学表现之一,做乳腺X线检查,就能够发现这一异常。统计资料表明,65%的乳腺癌有钙化,其中70%为恶性钙化。而这也是早期发现比较隐匿的、比较小的乳腺癌的好办法。如果有钙化的同时出现周围结构紊乱,双侧不对称,血管影增粗等征象,则恶性病变可能性更大。总之,无论是否有肿块,发现钙化都应立即请肿瘤专科医生给予进一步诊断,并及时进行手术。
甲状腺是另一个值得注意的地方。甲状腺良性疾病出现钙化较少,一旦甲状腺出现钙化,而光斑又强又大,建议做穿刺查病理,确定是否为肿瘤。通常,甲状腺良性肿瘤钙化影像多比较粗大,边缘清楚;而恶性肿瘤则阴影淡而模糊。
前列腺和肺也是比较容易出现钙化的地方。前者是前列腺炎痊愈后留下的疤痕,有的则是前列腺结石,无需治疗。但认为肺部的钙化也都是良性病变,则是个严重的误区。在钙化的基础上发生肺癌是完全可能的,尤其是那些X光片显示钙化,同时有气管阻塞的患者,要及时检查,明确病变部位,并在必要的时候及时手术。


