广州复大肿瘤医院 徐克成 2018-05-17
癌症治疗的硬道理是患者活下来,活得有质量。首次治疗是“消灭”肿瘤,当然重要,但治疗后康复,对于延续患者生命具有极为重要意义。治疗和康复应遵循“ABC原则”,即有效(available,A)、简单(brief,B)和便宜(costless,C)。我讲的每个故事,虽然不是标准“循证”,但我遵循“真实”,一定是亲自看到、问到,都是有名有姓(除非患者不同意披露),有地点、电话、微信。必要时,可以查核。
氢分子与健康的故事(5):氢气“护”肺
“神奇响应者”
2个多月前,在台北位于台大医院右侧的潓美氢体验中心,见到一位84岁老人曾先生。他中等身材,有点驼背,饱经风霜的脸上爬满了皱纹,留下了深深的岁月痕迹。两只深陷的眼睛,看上去倒还有神。他沉默着,静静地坐在椅子上。我上前与他握手,他看着我,显得有些腼腆,说:“我每天都到这里来吸氢。他们对我可好呢!”他指了指一旁的服务女士。
陪同曾先生的他的儿子告诉我们:他的爸爸是个苦难人,当了几十年煤矿工人。台湾的煤矿,通风设施差,虽在2000年这些矿井全部关闭了,却留下上万名疾病缠身的矿工,几乎都生了“尘肺”。曾先生的尘肺最严重,几乎每年都要进几次医院。
“去年那次住院,差点'走'了。”曾先生儿子说,“后来吸氢,才有了今天。”他有些激动了,拿出曾先生的胸部X片。

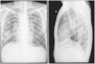
曾先生的X线胸片:两肺布满斑块状不均质阴影,提示肺炎症和纤维化
我看了曾先生的胸片。片子拍的质量不太好,但清楚显示两肺上中下三个肺区有大小不等斑块状影,以右侧中下肺区为多,密集度3级,可诊断为三期尘肺(Ⅲ)。曾先生儿子说:“这是近期拍的片子,以前的要严重得多,两肺都是班班块块,好吓人!”

作者为曾先生检查, 没有听到肺部啰音
曾先生去年住院时,已经上气接不了下气,不能平卧,心跳140-160次,嘴唇发紫,即使吸入高浓度氧,血氧饱和度仅有90 。医生诊断为“心肺衰竭”,下了“病危告知”。
“那时,我们家属已经不抱多大希望了。痛心的是爸爸一辈子受苦,没有享到福,就这么离开了,心里不甘。”曾先生儿子说。
终究是同种同族,两岸分开快70年,风俗还是一个样:老人去世希望在家中。曾先生被家属接出医院。在朋友介绍下,来到“氢体验中心”吸氢。实际上不单是吸氢,还吸氧。曾先生使用的是潓美出品的“氢氧气雾化机”,该机包含电解槽系统和超声雾化系统。纯水在直流电场和少量食品级催化剂作用下发生电解效应,产生H2和O2分子,分别从阴极和阳极溢出。吸入的气体包括34%的氧和64%的氢。
美国2009年曾开展一项临床试验:45例晚期膀胱癌患者接受一种新靶向药伊维莫司,43例均无效果,仅有两例的肿瘤缩小,其中一位患者叫沙伦,68岁,肿瘤几乎完全消失,停药一年后,肿瘤彻底消失了。她成了名人,被誉为“神奇响应者”。
曾先生就是“神奇响应者”。他“响应”的不是某一种药物,而是最普通的氢气。吸入氢氧气后,他的气喘改善了,心跳降下了,肺的病变稳定了。
我很高兴,一方面是看到曾先生的“神奇响应”,另一方面似乎为我们增添了一个治疗武器。在我们医院里,经常看到一些化疗药物相关性肺损害患者,一般用类固醇激素,但效果有限,副作用特别大。吸氢,是否可以作为这些肺疾病的替代治疗手段?
惨痛的印尼患者
我在不久前出版的《践行中国式控癌》一书中,曾记载了一位印尼患者的痛苦经历——
男性,51岁,2015年8月当地医院诊断为右肺癌并双肺、骨多发转移,病理为腺癌,基因EGFR19外显子突变。予以培美曲塞-卡铂联合化疗,每3周为一个周期,共6周期。肿瘤进展,改口服易瑞沙治疗了3月,不见好转,改特罗凯治疗,2个月 。肿瘤继续进展,停特罗凯,改口服AZD9291(奥斯替尼)(第三代EGFR突变体抑制剂 )。2016年8月20日因呼吸困难,急诊住入我院。检查发现颈部淋巴结肿大,压迫气管,予以气管切开;CT显示双侧肺弥漫性磨玻璃状伴网状结节影,考虑靶向药所致的间质性肺炎合并肺部感染。予以抗感染、甲强龙等对症处理,症状稍改善,但仍无法脱离呼吸机。
患者激动地拉住我的手,让护士用棉签封住气管套管口,憋着气,断续地一个字一个字地说:“谢谢。我想活下去 ……”。我强装轻松,唯一能做的似乎就是几句“安慰”——一个医者最心痛的无奈。
癌症之所以难治,主要是目前用于全身控制的药物,无论是化疗药还是当今特火的分子靶向药,对于多数癌症,一是有效率低,维持疗效不持久,二是副作用大,杀了癌细胞,也对机体造成“二次伤害”。这位印尼患者,接受了当今最先进的三代靶向药物治疗,不但没有“响应”,反而引起了间质性肺炎,一种致命性肺损害。
在癌症治疗中,化疗药物引起的肺损害发生率为0.03%'3%,各类抗肿瘤药物在临床试验和临床应用中几乎均有诱发肺损害的报道,如早期用于肺癌的博来霉素、烷化剂,近年应用的吉西他滨、紫杉醇等药物。博来霉素诱发的肺损伤发生率为6%'10%。一项研究显示,在141例接受博来霉素联合方案治疗的霍奇金淋巴瘤患者中,肺损害的发生率达18%,其中24%的患者死亡。
靶向药物也可引起肺损害(见表)。在84家机构、1976例接受吉非替尼治疗的非小细胞性肺癌患者中,有70例(3.5%)发生间质性肺炎, 31例(1.6%)死亡,所有患者均有胸部放疗史。男性、吸烟史和既往合并间质性肺炎者较易发生。有人统计日本以外地区接受吉非替尼治疗的92821例患者,间质性肺病变的总发生率约为0.28%;而在日本地区接受吉非替尼治疗的65527例患者中,发生率约为1.7%。

不仅化疗和分子靶向药,连被誉为“里程碑式治疗”的PD1/PDL1为代表的免疫检查点抑制剂也会引起肺损伤。
说来也巧,今天上午看门诊,一位肝癌术后转移患者PDL1 阳性。看来他有经济能力,我建议他用Opdivo 或Keytruda,可他拒绝了,说副作用太大。我遇到过一些患者应用这类药物后出现不良反应,主要是皮疹和腹泻,尚未见到威胁生命者。
中午我回到办公室,打开电脑,赫然看到一篇新近发表于著名期刊《柳叶刀》的文章,题目是“愈来愈多报告免疫检查点抑制剂合并致命性心肌炎”,报告101例患者的详细资料,作者警告:“目前没有有效治疗手段,死亡率高达46%”。
难道这位肝癌患者看过这篇文章?我想:真要向患者学习!更巧的是,专家在评述《柳叶刀》这篇文章时,提到这类药有5种严重并发症,其中有“免疫性肝炎”,还有“免疫性肺炎”。
医生用药,真是如履薄冰!
急性间质性肺炎是抗癌药最严重肺并发症,属于弥漫性肺间质疾病,预后凶险,死亡率高达72%。前述印尼患者最后在医院去世了,惨痛的是,他不是死于肺癌,而是死于靶向药的并发症间质性肺炎(见下图),十分可惜。

该图显示靶向药引起的急性间质性肺炎。胸部CT显示双肺弥漫性不均质性磨玻璃样阴影,没有明显的肿块。可见轻度网状结构。
自由基和肺损害
化疗和靶向药物所致的肺损害机制不明,可能由于药物直接损伤肺泡Ⅰ型和Ⅱ型上皮。此过程中有过氧化自由基参与。
人体细胞的生命大分子,如果失去一个或一个以上电子,其所含电子不再成双配对,成为游离的分子、离子、原子或原子团,即自由基。主要的自由基包括活性氧(ROS)和活性氮(RNS)(见下表)。
自由基的产生包括内源性,属生理性,是氧化磷酸化过程中必须的信号传导物质;也可外源性,是由外界因素如吸烟、毒素、污染、过度运动、辐射、药物等诱导生成。化疗药和分子靶向药,均可促进体内产生自由基。
自由基一般迅速从体内清除。体内有对抗自由基氧化作用的抗氧化防御机制,与氧化作用保持平衡。如果自由基过量产生,或/和抗氧化机制不足,则可以与DNA、蛋白质、脂质、碳水化合物起化学反应,破坏生命分子,引起细胞损害(见下图)。

实验室检测到化疗后氧自由基的增加。自由基激活炎症细胞和免疫细胞,形成对肺的连续性损害。在药物性肺损伤时,自由基能促使支气管-肺泡上皮细胞凋亡。上皮细胞丧失导致肺泡基底膜破坏,进而引起细胞外基质即肺间质损伤(见图)。

该图显示氧自由基可通过多种途径,包括破坏不同基因之间平衡、干扰特殊蛋白酶和损伤DNA,促使肺泡上皮细胞凋亡,从而引起肺炎症和肺纤维化。p38MARK 表示p38有丝分裂原激活蛋白激酶,Smade 表示一种针对特殊基因的物质,FasL 表示Fas配体,Fas 表示凋亡介导性表面抗原,FADD表示Fas相关性死亡域,BAX 表示BCL-2相关蛋白,BCL-2 表示B细胞淋巴瘤
三个动物实验
氢能否对药物性肺损伤有治疗作用?我们看三个动物实验——
第一个实验:研究吸氢对实验性急性肺损伤的作用。采用气管内灌注脂多糖(LPS)造成急性肺损伤。64 只小鼠,随机分成4组,每组16只,分别为对照组(PBS)、对照组+吸氢(PBS+H2)、气管内灌注脂多糖(LPS)组和灌注脂多糖+吸氢组(LPS+H2)。吸氢均在实验开始后1和6小时时进行,时间1小时。所有接受脂多糖气管内灌注的鼠,均发生急性肺损伤。但在加上吸氢的动物组,肺损伤轻微,表现为肺泡上皮凋亡减少,肺内中性粒细胞聚集和炎症减轻,一些促炎性细胞因子例如肿瘤坏死因子、巨嗜细胞炎症蛋白以及白介素1、6,均减低。给鼠腹腔内注射含有氢气的生理盐水,也有类似效果(文章发表于Shock 2012年37卷5期)。

该图显示LPS灌注的小鼠肺泡上皮凋亡严重(LPS),而在吸氢的实验性肺损伤小鼠肺上皮凋亡明显减轻(LPS+H2)。A是肺组织学改变,B显示凋亡指数,可见LPS组最高,加上吸氢后,指数下降。PBS 系对照组
第二个实验:研究饮氢水对实验性肺损害的作用。实验采用百草枯(PQ)诱导大鼠急性肺损伤。共采用40只成年小鼠,随机分成4组:对照组、氢水组、PQ 组和PQ+氢水组。对照组和氢水组鼠分别饮纯水和氢水,PQ组和PQ+氢水组鼠接受腹腔内注射PQ,然后分别饮纯水和氢水72小时。氢水内氢气浓度为0.4mM,鼠血液内氢浓度应达到5μM。72小时后杀死动物,解剖。
实验显示,在PQ+氢水组,肺损伤明显轻于PQ组,表现为胸腔渗液较少,气道分泌物内蛋白质含量和细胞数少,肺组织学改变也明显轻于PQ组;在给予氢水的动物肺水肿较轻,反映细胞脂质过氧化和氧化损伤的指标,也明显低于未饮氢水的实验组。作者还测定了细胞凋亡指数,发现氢水组肺上皮凋亡明显减少(文章见于J Biomed Biotechnol 2011年)。

该图显示小鼠肺组织学改变。A和B显示对照组和单纯饮氢水组,肺泡及其间质正常,但在给予氢水的PQ组(D),则肺组织学改变则与PQ组(C)有明显差别。在PQ组,可见显著肺出血、水肿、肺泡间隙增厚、充满炎症细胞和纤维素沉着(C),而在给予氢水的PQ组,则肺损伤明显减少(D)。
该实验又测定肺丙二醛(MDA)。丙二醛是膜脂过氧化重要的产物之一,测定MDA可了解自由基过氧化程度。与对照组和HW组相比,PQ组和PQ + HW组的肺MDA水平增加,然而,PQ + HW组MDA显著低于PQ 组,说明氢气可减少过氧化,起抗氧化作用(下图)。

该图显示各组动物肺组织中的MDA含量,PQ组最高,PQ + HW组的水平较低(*与对照相比;与PQ组相比),提示氢水能降低肺MDA水平。Control指对照组,动物仅饮纯水;HW组指动物饮氢水;PQ组指百草枯致急性肺损伤动物;HW+PQ组指急性肺损伤动物饮氢水
第三份实验检测了吸氢对吸烟引起的慢性阻塞性肺病(COPD)鼠模型的作用。24只小鼠随机分成5组:对照组、COPD组、低氢组、中氢组和高氢组。除对照组,其他各组均吸烟4个月,形成类COPD模型。吸氢的鼠分成低、中、高氢三组,吸入的氢浓度分别为2%、22%和41.6%,每天吸氢2小时,4个月,系与吸烟同时进行。
结果显示,吸氢明显减少支气管肺泡灌洗液内炎症细胞数、a肿瘤坏死因子、基质金属蛋白酶-12、半胱天冬酶-3、半胱天冬酶-8以及白介素6、17和23的表达,但是提高金属蛋白酶-1组织抑制剂。实验还证明,吸氢可改善肺病理、肺功能和心血管功能,降低右心室肥厚指数。吸入22%和41.6%氢气比吸入2%氢气显示更好的结果(文章见于Int J Chron Obstruct Pulmon Dis 2017年)。

该图显示吸氢对慢性阻塞性肺病小鼠的肺组织学的影响,右3张照片显示吸氢组,肺改变均较COPD(左2)组为轻,尤其在吸入中高浓度氢气的小鼠(肺组织染色HE ×400).
氢气“护”肺
曾先生的经历和上述三份实验,结合文献,高度提示:氢气能“护”肺,具有改善和预防肺损伤的作用。氢气护肺的特点有:
· 第一,氢气分子量小,很容易透过生物膜,进入细胞浆、线粒体和细胞核内。肺是最接近外环境的器官,氢气更易进入肺;
· 第二,氢分子能选择性与自由基氢氧根和过氧亚硝基起反应,而不减少其他与细胞信号传导相关的活性氧(如H2O2),因此不会影响机体内正常代谢氧化-还原反应,也不会影响肺本身的气体交换作用;
· 第三,氢分子的组织相容性高于其他抗氧化剂,这对肺这样很娇嫩的组织,尤为重要;
· 第四,氢气特别安全;
· 第五,肺血流丰富,无论是吸入,还是注射含有氢气的溶液,氢气均可迅速透过肺组织进入全身,这对改善机体全身状态极有帮助;
· 第六,吸入高浓度氢所起作用可能更大。
2018年5月16日星期三完稿于广州天河之巅

徐克成教授是暨南大学附属复大肿瘤医院荣誉总院长、国内著名消化病专家和肿瘤治疗专家。国际冷冻治疗学会(ISC)前主席,中国卫生系统最高荣誉“白求恩奖章”获得者,获中宣部“时代楷模”称号;广东省生命之光癌症康复协会会长。他先后担任南通医学院内科教授和消化研究室主任、第一军医大学客座教授、日本千叶大学、美国霍普金斯大学访问教授。现任中国中西医结合学会消化病委员会副主任委员兼全国肿瘤研究协作组组长、中华医学会消化病委员会胰腺病学组成员,世界肝病学会委员。中华胰腺病杂志、胃肠病学等杂志编委。主编医学专著9本有《临床胰腺病学》、《肝纤维化的诊断和治疗》、《肿瘤冷冻治疗学》。参编专著29本;在国内外发表论文496余篇。
1 就诊内容
肿瘤专家,尤其在消化系肿瘤的诊治(如肝癌、胃癌、结直肠癌、胰腺癌等恶性肿瘤)和肿瘤康复治疗方面都有很深的造诣,在肿瘤微创治疗和免疫治疗等方面他走在了业界的最前沿。
2 挂号费
300元(请提前预约)
◎ 徐克成门诊咨询电话:18903068180
地址:
北院区地址:广州市天河区棠德西路2号
南院区地址:广州市海珠区赤岗聚德中路91、93号


