同时我们发现亮亮的母亲有类似病变,在她的上腹部和左侧胸部有巨大肿块,预计与亮亮的病变属同一性质。
亮亮的病变十分罕见,属于遗传性疾病,是常染色体显性遗传,病变一般发生在第11号染色体上MEN-in基因突变。手术切除肿瘤是最有效的治疗手段。对于亮亮妈妈的肿瘤,手术切除加冷冻可能会有良好效果。
但是,目前亮亮的肿瘤已不可能切除,按照常规,化疗是唯一可以采用的方法,文献报道,链佐霉素和表阿霉素联合应用有40%-50%的反应率,维持疗效可达1年。但关键药物链佐霉素国内缺货。我们向上海、北京多家著名医院寻求帮助,结果是“无能为力”,又向日本、欧洲的医生朋友询问,答复是“此病很少,无治疗经验”。再向美国排名第一的肿瘤医院MD Anderson 癌症中心求救,答复是“可以用化疗,但效果难以保证。链佐霉素需要低温保存运输,难以进入中国”。
我们考虑,既然现有的方法无效,为什么不采用特殊的一些治疗呢?于是,我们采用了血管介入,将支配肿瘤的血管栓塞,再采用CT下经皮冷冻,将胸腔和胰腺部的肿瘤一点点、一块块冻除,……
奇迹终于出现。亮亮的病情一天天改善。如今,他的血糖回复到正常水平,胰岛素降低到治疗前的一半,他先是在床上坐起来,再在弟弟搀扶下下地行走,再单独行走。他脸上总是挂着笑容,见人就说“好开心好开心”。
我的在美国MD Anderson 当教授的朋友在电话中说:“这简直是不敢想像的”。我和我的同事也是“好开心好开心”。
冷静下来想,亮亮治疗的奇迹,并不完全是我们的技术。如果没有马来西亚杜友群女士,没有她的爱,没有她的几十份邮件,亮亮不可能有今天,治疗的奇迹也不会出现。
下面列举杜女士和我们来往的部分邮件。由于我以为她是男性,因此开始时我在邮件中称她“杜先生”。
徐教授:
您好!感激您在百忙中覆函。
目前馬來西亞國大醫院之醫生告知家屬,孩子緯明胸部,心臟與肺之間腫瘤7.5cm是惡性,擴散至脊椎骨,晉入癌症第4期。
緯明的檢驗報告隨馬來西亞病患黃昇和 (食道癌,已到廣州復大醫院接受治療) 的家屬帶去,署名SUCHA WONG。
徐教授,能否安排緯明即到復大醫院接受治療?真期待您伸出援手冶好這孩子。候覆,謹此叩謝!
杜友群 敬上
在 2011年4月24日 上午9:10,
徐教授:
好,我們盡快安排。但他目前行動不便,坐輪椅,且經常嘔吐.坐飛機病人需注意何事項?
是到廣州白雲機場下機嗎?然后怎樣安排呢?請指示,謝謝!
杜友群 敬上
2011年4月24日 上午11:33,
徐教授:
您好!
知道不该干扰您,但心焦救人之情迫於无奈,希望能将病人安全送到复大,接受冶疗。
病人家属目前流动现金约马币50000左右,相信不足以应付多项治疗,朋友群除伸出援手外,建议登报筹款。报馆要求院方能预估医疗费用,方能协助。
恳求贵院协助出一公函,预算医疗款额,尽量筹备救援金。
谢谢!
杜友群 敬上
在 2010年5月18日 下午3:38,
杜先生
我非常敬佩你,你对这位可怜病人千方百计救助,令我非常感动。我们一定尽力,尽力。回想一年前,我看到这个病人,充满信心,但现在他的病已进展了,能否改善他的病情,我心中无数。但我想,如果对症处理,也许能改善他的症状,然后我们再考虑进一步治疗。费用大家帮助,我们也会照顾。需多少,由于不知能治疗到什么程度,很难估计。先筹款6-8 万马币吧。请与我秘书陆医生联系,徐克成. 2011年05月20日 15:45
徐教授:
您好!感激您在百忙中回函。这孩子与我孩子一齐长大,感情甚笃,我孩子在台湾留学,回国看亮亮病重,哭了!心很痛,不想一个大好青年就这样走了,我及周边朋友都是这样想的........!送去复大是我们的意愿,也是躺在病床上病人的意愿。知道之前病人不合作造成拮手,但病人求生意志坚强,朋友们都会尽力协助。徐教授,您让我更敬佩,实实在在医者父母心,仁心仁术,包括您带拎的团队。
谢谢!
杜友群 敬上
在 2011年5月20日 下午3:45
杜先生:
今天下午我听到陈伟添(胰腺癌患者)情况很好,昨天在怡保演出,震撼全场,非常高兴和感慰。一年前,他是和你这位病人一起来到我身边的。现在我非常忧虑的是我们是否能帮助他。希望上帝给我们机遇。谢谢你的信任。
徐克成2011年05月20日 17:07
徐教授:
陈伟添先生报章有报导他抗癌成功,这是贵院又一成功治病的佐证。病人如今情况心肺功能不良,正进行将肺水抽出。医院肿瘤科医生家中有事缺勤月馀(昨才从另一医生知晓此事),没向家属谈及冶疗方案。想请问,如果肺积水抽出,能否乘坐飞机?若不适远行,医生要为病人电疗,是否该先接受,然后再另作安排?请给我们一点方向,感激不尽。
谢谢!
杜友群 敬上2011年05月21日 11:06
杜先生
如果心肺功能不全,是胸腔积液引起,则抽出后即改善,如肺转移或肺炎引起,则很麻烦。乘飞机主要取决于肺功能能否改善。
克成
2011-05-21 11:06:42
徐教授:
您好!今日探病,病人状况较佳,大约抽出肺积水2000cc。若征求到院方同意,病人可坐飞机,即安排到广州复大就医。这是病人和家属的唯一希望。
谢谢!
杜友群 敬上
在 2011年5月21日 上午11:47,
杜先生
如我所料,抽胸水后会改善他的全身情况。由于胸水中含有大量蛋白质,希望迅速静脉输注白蛋白,同时鼓励病人口服蛋白粉(最好用安利牌,美国),不一定用特殊营养品(钱贵,不会有作用)。水果蔬菜尽可能口服。
你真了不起,我被你感动了。谢谢。我让马来西亚Ms Ester 刘帮助你,她是非常有爱心的女士。
克成 2011年05月23日 13:52
徐教授:
您好!电脑出状况,未能及时联络,请谅!据医生说,抽肺水的管子今天拆除并出院,若要出国就需尽速安排。小病人求医心愿极强,他说:我坐轮椅出国,回国时,要能走路出机场!
如顺利,就订明天或后天的机票.配合小病人的最佳状态而匆促作决定,实在不好意思!
徐教授,刘丽宝女土我应如何联络?请指示。我是在马来西亚商务印书馆任职,这段时间要办一大型书展,较忙,恐来邮不能及时回复,但敬望保持联络(H/P:012-2635580)。
谢谢!
杜友群 敬上2011年05月25日 10:09
杜先生
非常赞赏你一片爱。我联系Ester,我们也将予以表达我们的爱。她电话128877278。她在台湾。如决定行程,请及时告知,我们准备接机。
克成2011年05月25日 14:59
徐教授:
您好!过奖了,我及一群朋友只为珍惜生命而出点心力而已。小病人还未出院,他也为起飞作最佳状态的准备。若小病人能跨越难关,他会深深感激所有的人,也能从过程中学会和体会很多很多东西。幸亏有您,像在茫茫大海中的一根浮木,给予我们希望和力量!
由衷的敬佩和感激。
谢谢!
杜友群 敬上2011年05月26日 11:45
陆医生:
您好!
终於能等到今天,亮亮能出院了!明天一行三人将於下午1.35pm抵达广州白云机场,望能安排接机及救护车。机票详情如下:MH376 9.30AM起飞,1.35PM 抵达。
有劳了,谢谢!
杜友群 敬上2011年06月07日 18:06
(陆医生是我的秘书,以下是亮亮入院后邮件)
陆医生:
您好!前阵子因赴台参加我孩子毕业典礼,再加上各种因素,没有及时了解到亮亮病况,实感抱歉!略看发来电邮,甚为担忧难过,还务请能尽力协助孩子渡过难关。冷冻后病况有控制到吗?希望能见曙光。
谢谢!
杜友群 敬上2011年06月22日 23:58
杜女士,您好:
亮亮的事情我一直很关注,并叮嘱我们的医务人员尽一切努力帮助他。他是一个坚强的孩子。
亮亮身体里有很多转移瘤,病情复杂并且比较严重。治疗会比较困难。但是不管怎样,我们一定会尽全力帮助他。
徐克成2011年06月25日 17:56
杜先生,你好。亮亮病情有好转。但下一步治疗需要社会帮助。现将亮亮近期照片发上,同时发我写的一篇文章,希望得到你的帮助。
谢谢,
克成2011年07月04日 13:23
徐教授:
您好!
看了您這封信函,我百感交集,振奋、感动,同时一股暖流在血液中流窜!说实在话,当看到之前对亮亮恶性肿瘤不乐观的判断,我心绪跌入谷底,一群老朋友也向我提出劝告,得面对事实,接受事实,否则花钱治不了,结果不堪!好了,遇到您们专业敬业的治疗高手,看到亮亮有转机并他妈妈也能治疗,太棒了!钱,我们会努力再筹,也千谢万谢广州复大全体医疗人员的爱心,从没看过一位医院的领导,除了身体力行带领医疗人员克关挑战极限外,还协助病人筹款!谨向尊敬的徐教授及全体医疗人员致予崇高的敬意!
杜友群 敬上2011年07月04日 19:48
徐教授:
您好!
请按您们的医疗计划进行治疗,人命关天,救人至上。钱,我们朋友间已发动机制协助筹集。
药,是否由贵院安排购置较为善?毕竟我们是外行。若还需任何的配合,请告知,将尽力之。
谢谢!
杜友群 敬上2011-07-05 11:33:00
杜大姐,非常感谢。我们尽力。
克成2011年07月05日 11:53
徐教授:
您好!我们各尽其力,希望奇迹再现。
谢谢!
杜友群 敬上2011年07月05日 14:34
徐教授:
您好!
亮亮及他母亲的周围朋友都动员起来,为拯救亮亮母子而作出努力。马来西亚有4大中文报,其中两份即中国报和光明日报先后刊登了筹款新闻。亮亮同学也通过面子书为亮亮募捐医药费。想请教:刘丽宝女士是马来西亚人吗?我能有机会拜会她寻求协助吗?望不吝赐教,感激不尽。
谢谢!
杜友群 敬上2011年07月06日 15:13
杜女士
谢谢。我已决定,有关亮亮特殊检查的花费全由医院赞助,这部分可能要10万元人民币。刘丽宝是马来西亚人,现就职于我院国际事务部主任。前天捐赠的20000元人民币就是她捐的。但她不愿公开。
谢谢,
克成2011年07月06日 16:18
徐教授:
您好!真的不知道该如何感激您的大恩大德,我谨代表亮亮一家衷心向您及所有医务人员叩谢!刘丽宝女士的捐献也让我感动,感恩!人间有温情,我们会尽能力筹款,祝福祈祷亮亮母子走向健康人生!
谢谢!
杜友群 敬上2011年07月06日 18:46
杜女士
我向美国MD Anderson 癌症中心朋友咨询,结果转发你。Streptozotocin 只有美国有。
克成2011年07月09日 10:09 (星期六)
徐教授
您好!来函收悉,您对病人的关怀和付出,感激还是感激!亮亮对药物的适应和病况改善,辨证了药物的实用性,不仅是亮亮,包括了他的亲友同学,都为之振奋。徐教授您们是治疗病患的前线,从突破性着手,挽救生命。我们是病患的大后方,会多方筹钱,配合医院需求,让院方与病患无后顾之忧。大家尽力,加油!谢谢!
杜友群 敬上2011年07月09日 14:28 (星期六)
杜大姐
我现正在与美国联系,看是否美国药厂能支持?请你们也能联系国外,并在新马看有无Streptozotocin。
克成2011年07月10日 20:57 (星期日)
徐教授
您好,我们将设法四处探听,是否有Streptozotocin供应,但请不要把重点放在新马两处,谢谢。
杜友群 敬上2011年07月10日 22:23 (星期日)
徐教授:
您好!已发出多通电邮给医生朋友,了解能否帮忙找到Streptozotocin,至目前还未捎来任何消息。亮亮和亮亮的妈病况不知是否有任何进展,我们都非常牵卦。据说,需要亮亮的父亲作身体检查报告,能否明细说明以便转告?亮亮与亮妈的整个疗程费用,大约花费需多少?能否预估,好让大家往目标努力。亮亮等人大约会几时返国?还或是较长时间留在广州复大?
徐教授,以上问题,若您忙,请交由其他医生代笔,否则我非常过意不去!
有劳了,谢谢!
杜友群 敬上2011年07月12日 15:54 (星期二)
杜大姐
谢谢你。对于亮亮治疗,准备再做胸腔肿瘤冷冻,等待化疗(用链佐霉素为主)。此药我已在中国多家医院咨询,均没有,欧洲也无,只有美国有。是否你们直接联系美国的教授?我会与美联系好。亮亮妈妈的肿瘤也是恶性的,胸壁肿瘤是转移,原发在胰腺,瘤很大,我们拟先做血管介入,看以后能否切除?她也同样需要化疗。
亮亮和妈妈实在可怜,上帝这样安排,我们能做哪些呢?为此我们也苦恼。我们担心的是我们的努力是否能产生满意效果?良心和实际总是考验着我们。现在,看来我们没有退路,只能尽力,尽力。真要好好学习你,杜大姐。
克成2011年07月14日 10:07 (星期四)
徐教授
您好!昨天,刘丽宝女士有联络我,交待向美国购买链佐霉素事宜。若无拎悟错,是由院方安排购买,由我们负责还款。至於细节上应如何处理,请再让我们知道。为了援救亮亮母子,我们都四处奔波筹钱,按徐教授所说可能要多备马币10万,不包括佐链霉素,的确为数不小啊!原想到广州拜会徐教授及顺探望亮亮母子,为了筹款也一时跑不开。完全相信您们的尽心和尽力,希望大家的努力和付出,上帝不会让我们白费。
谢谢!
杜友群 敬上2011年07月14日 12:45 (星期四)
上天保佑。经过两次冷冻治疗,亮亮的病情出现了奇迹般的改善。他的血糖稳定地处于正常水平,血胰岛素一步步降低。他的母亲病情也一步步好转。母子二人于8月28日出院了。那天,我刚从美国回到广州,未来得及为他们送行。据说,他们回到吉隆坡时,在机场受到光明日报记者和许多华人朋友的迎接。

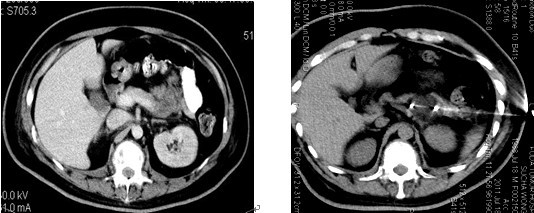
亮亮胰腺肿瘤治疗前CT片,显示胰腺体部大肿瘤 正在给亮亮的胰腺肿瘤作冷冻治疗

亮亮入院时,被用轮椅从救护车上接下来

亮亮和护理他的护士(2011年11月初)

亮亮在作者办公室里
图17 亮亮入院前和入院后
经过进一步联系,美国药物链佐霉素最终未能买到。后来MD安特森肿瘤中心的专家说,即使用上这个药也不一定有效,而且副作用很大。他们知道亮亮康复后,也很高兴,连说“不敢想象”。
现在,亮亮正在家康复,唯他母亲仍比较虚弱,上腹部时有疼痛。我于2011年11月13日应邀到吉隆坡,参加大马书市为我的《我对癌症患者讲实话》举行的签书活动,打电话到亮亮家,很遗憾,亮亮到泰国旅游了,未能见到他。见到杜女士了,她也在书市,为她的出版社服务。她矮矮的个子,瘦瘦的身材,穿着非常一般,看样子60多岁了。我们相见后,紧紧拥抱,我看出她在不断流泪。我问她与亮亮家是什么亲戚关系,她说:“不是亲戚,仅仅是朋友!”
未完待续........


