我们做得更好
其实,我们的成绩比上述美国人的这篇文章报告的更好。我们就以恶性黑色素瘤为例做一些比较吧。
当我看到《新英格兰医学杂志》美国人的这篇文章后,我马上去上海,找到我的同行朋友,在上海第X人民医院找到一份1991年的病历。病历记载一位59岁的男性患者,患者鼻出血一个月, X摄片显示筛窦(在鼻腔上方)内有一肿瘤7厘米大小;病理切片证实是恶性黑色素瘤。在该院给予手术,术中发现肿瘤侵犯到周围组织,伴淋巴结转移,无法切除。术后给予放射治疗,无任何效果。患者出院,找到我的朋友,接受免疫治疗。半年后肿瘤大部消失,继续接受免疫治疗,一年后复查已无肿瘤证据。患者恢复正常生活。直到2004年初,患者再次鼻腔出血,检查发现肿瘤复发,后死于肺部感染。我将第二次住院的病历也找来了,是2003年的。患者从第一次住院算起,生存了近14年,其中至少有12年是处于无病状态。
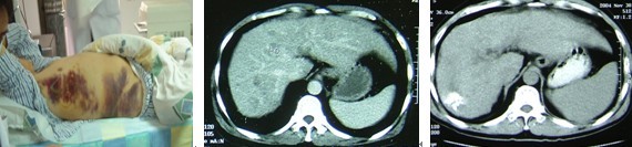
再看一个我自己亲自参加治疗的一位患者,他姓高,住江苏省江阴市。2001年他因眼睛看东西不清楚,在上海被诊断为眼虹膜黑色素瘤,接受了左眼切除手术。2003年,他感到肝区疼痛,在上海XX医院检查,发现肝脏内多个结节,肝活检证实为肝转移。医生告诉他只能生存3个月。他的全家开会讨论,如何安排后事?老高没有灰心,来我院住院,接受了肝转移瘤冷冻消融和联合免疫治疗。患者肝转移瘤停止发展,进而缩小,最后大部消失,恢复正常工作和生活(图8)。虽然最后死于消化道出血,但在“无病”生存的4年半中,他享受了人生,利用这“拾回”的生命,参加江阴抗癌协会,作为志愿者,为癌症病友服务。

老高肝内多个转移,皮下大片出血治疗前,肝内多发性转移灶治疗后肝内癌瘤大部消失
图8 一例转移性黑色素瘤患者的肝CT图像
以上两个患者,病情与美国人报道的患者相似,但我们的病例一个活了14年,一个活了4年多。2010年日本一个国际学术年会上,我对后一个病例作了报道,受到与会者一致称赞。
联合免疫
2005年我回母校出席老师孟宪镛教授80寿辰,巧遇著名血液病专家、中国工程院院士王振义教授。早在上世纪70年代我就认识王教授。后来我到了中国南方,对他发明诱导分化疗法治疗早幼粒细胞白血病取得的成就,一直极为佩服。这次相见,王教授知道我在主持一家肿瘤医院,很高兴,说:“目前这套治癌方法,不能解决癌症治疗的根本问题。抗癌必须有新的思路。”当他知道我们应用免疫疗法治疗癌症后,反问我,“你怎么能保证免疫细胞消灭所有癌细胞呢?”他又说:“现在许多疗法,很专门化,靶向又靶向,看来很科学,但癌症基因表达多种多样,在分化过程中又十分不稳定,换句话说,今天的癌细胞不等于明天的癌细胞。免疫疗法抗击癌细胞,必须~千军万马~、~随机应变~,不能仅用一种免疫方法,要用多种,要随着癌细胞的变化采用不同的免疫措施。”
伟人就是伟人,智人的片言只语往往就是很好的“教材”。王教授的话一下子点出了免疫治疗的真谛。癌细胞的特点就是其遗传学不稳定性。癌细胞的DNA不同于正常细胞的DNA,正常细胞分裂时,其遗传信息被完美无缺地复制到下一代细胞;而癌细胞分裂时,复制到后代的遗传信息却会改变,而且遗传信息的细微变化会导致癌细胞行为的显著变化。结果就是当人们认为某种癌细胞是同一种细胞的时候,实际上这种癌细胞已经分化出难以计数的不同细胞,构成一个癌细胞大家族,这些癌细胞各有各的特点,诡诈无比。
基于上述认识,我们把各种免疫促进的方法组合起来,形成所谓联合免疫疗法,就是CIC,其中包括CIK、DC、T细胞回输疗法,也有细胞因子注射,还有非特异性免疫刺激疗法。这就好比打仗时,必须有陆军、海军、空军,甚至警察(免疫细胞和细胞因子)、情报人员(DC细胞),不仅要“扩军”,增加它们的数目,还要采取措施(非特异性疗法),“刺激”它们的积极性,让他们敢于“冲锋陷阵”。当然,在某个病人,用哪一种或几种免疫疗法,需要预先做一些特殊检查,按照具体病情作出决策,即个体化。
一年前在菲律宾马尼拉一个会议上,突然一个50多岁女士来到我面前,我对她的面孔很熟,但一下子想不起她是什么病患者(图9)。她说:“徐教授,你是大恩大德的贵人,你看,我有病吗?”我想起来了,她是一位转移性肾癌患者,叫Rus。5年前做过手术切除。3年前来到我院,已有骨转移。对于这种进展性肾癌,化疗和放疗无效,文献中有10份报告,患者5年生存率从0%到13%。我对她实施了CIC治疗。想不到她获得这样好的效果,我看了她最近在菲律宾检查的CT片,基本上看不到病变了。她送给我两个啤酒瓶,上面是绘制的花朵,说这是她亲手绘的,按照她家族的风俗,这些“瓶上画”代表了最尊敬人的感激。她怕我不肯收下,说:她是穷人,不能送贵重物件给我,也不敢送值钱东西给我,因为她知道我院拒收礼品的规矩,但这是不值钱的东西,但代表了她的心。我接受了,虽然不完全理解这种画的含义,但我带回了这两个啤酒瓶,把它放在我办公桌后书橱里,让我天天看到。
2011年11月19日,我在菲律宾马尼拉受到副总统比奈的约见。Rus听说副总统要见我,大早就来到我住的酒店,跟着我进了副总统府。比奈副总统听了我介绍后,很激动,高兴地与Rus姐妹照相(图9)。

Rus 正在癌症治疗讲座会上讲述自己的抗癌经历

菲律宾副总统比奈(中)接见Rus女士(左)和她的妹妹
图9 菲律宾肾癌患者Rus小姐
看到这位患者那么高兴,我马上想起在香港为一富翁看病的经历。
这段经历我在《我对癌症患者讲实话》中已说过,但那时这位富翁尚未去世,尚“保密”,我只是含蓄地谈了我的感触—“富人的悲哀”。现在我还不想暴露他的名字,暂称他为孟先生。
那是2010年5月的一天,清华大学一位副校长打电话给我,要我去香港为一位清华最大的捐赠者孟先生会诊,说他患肾癌,手术后复发。几天后,香港这家医院发来邀请。晚上7时,我来到这家香港最显贵的医院38层一间豪华病房。孟先生的气管已经切开,气管套管连接床畔呼吸机,我看了监护仪屏幕上生命指标:心跳120次,氧饱和度90%,血压110。孟先生不能讲话,看见我,点点头,刚刚伸出手,突然一阵气急,“昏”过去了。孟先生全身上下广泛出血瘀斑。我要来孟先生的CT片,见肺部纹理增粗,有散发性片状模糊影,不是癌转移,而是间质性肺炎;MRI上脑没有明显病变,有几处骨转移。患者的四位医生来了,相互介绍,交换名片,原来他们是香港大学教授,也有私人开业的。香港私家医院的制度与我们不同,专科医生都是“客座”。我们讨论了病情。患者2009年7月被诊断出肾癌,接受了肾切除。4个月说,仅仅骨转移不可能引起这么严重状况,看来另有原因。再看治疗用药,我一下子明白了,原来是化疗药引起的“非感染性间质性肺炎”。
孟先生用的药物不是普通化疗药,而是一种叫XXXX的最新标靶药物,此药对肾癌有效,但副作用较多,最严重的是非感染性间质性肺炎,虽然罕见,可是一旦发生,几乎不可能逆转。孟先生无巧不巧就撞上了这种副作用了。
当天夜里回到酒店,我一直思考:到底我们应该怎样为这位肾癌患者治疗?孟先生是富人,有条件用最贵的药物。他用的药价格不菲,非一般人所能使用。但仅约20%的肾癌对这药有“反应”(肿瘤缩小),持续时间也仅3-4个月。就是说,尽管这种药应用后有效,也只是暂时的。如果撞上了严重副作用,并导致死亡,那不是“好心坏报”吗?肾癌与免疫机制有密切关系,为什么没有首先考虑免疫治疗呢?我曾问香港的同行,他们说:对富翁,不用最新最贵的药,他们怎么会相信你呢?
我的心里说不出什么滋味。如果孟先生不是香港大富,可能就不会用这种药;如果他是一般的人,可能会按照一般常规用免疫治疗,也许会产生另一后果。富人有钱固然幸福,但不一定都会获得最好结果,看来这就是富人悲哀!
孟先生于2010年7月21日仙逝,香港报纸报道:“XX大王”“1995年被证实患上前列腺癌,一直受疾病困扰,年前开始于医院留医,至最近出现肺炎和血液病”去世。这段报道没有谈及肾癌,什么原因,不知道,但这已经不重要了。
迄今,我脑中经常浮现上述一“穷”一“富”两个病人,老是思考:我们应该怎样为病人看病?
个体化治疗
近年来,肿瘤个体化治疗成为最热门的话题。许多医院成立了个体化治疗中心。美国安特森癌症医院前任院长从院长位置上退下后,成立了庞大的癌症个体化研究所。
广义说,个体化治疗包括整体水平上的个体化治疗和分子水平上的个体化治疗。不同的人患同一种病,由于基因特征和表达、机体状态和所处环境不同,治疗方法也应不同;即使同一个病人,在不同病期,治疗也应有差异。这种因人而异和因时而异的治疗,就是个体化治疗。
个体化治疗从广义上说,可分为整体水平上和分子水平上两种。中国传统医学一直强调“整体个体化治疗”的概念,其精髓就在于“辨证论治”和“同病异治、异病同治”。为什么不同的中医师开出的处方不一致,结果也有差异,就是由于“个体化”方面考虑不同。这给肿瘤治疗提供了很多借鉴。只不过,中医要辨的是寒热虚实,而按现代医学观点肿瘤治疗要辨的是疾病早中晚期,是基因突变、受体和关键的酶。
在我们临床上,面对一个病人的肿瘤,是给予手术,还是采用微创消融,是否术前或术后要给予化疗,均要根据病人的病种、病期和全身情况以及病人的心理状态,综合考虑,这是整体水平上“个体化”;即使采用微创消融,还要根据具体情况,仔细考虑到底采用冷冻、射频、酒精注射,还是微波、超声等。有人说,医生就像木匠、泥水匠、裁缝一样,做的是手艺活。医生看病,经验非常重要,这个“经验”看来就在“个体化”的判断和应用上。

图10 分子水平的个体化治疗可能产生的4种结果
目前所指的个体化治疗是指分子水平上的。通过对基因/蛋白质表达的分析,可预测同一种癌症治疗后,在不同的人产生以下4种结果:①药物产生毒性,但有疗效;②产生毒性,无疗效;③没有毒性也无疗效;④无毒性,有疗效(图10)。
根据对化疗药作用的靶点(靶标)检测的结果选择药物,可以避免无效有害的化疗、节省宝贵的治疗时间,减少副作用。例如对肿瘤组织中ERCC1 /RRM1 /TYMS/TUBB3等靶标基因mRNA表达水平的检测,可以分别预测患者对铂类/吉西他滨/氟尿嘧啶类/抗微管类等常用化疗药物的反应。
个体化治疗在肺癌治疗上已取得很大成功。靶向治疗药吉非替尼对非小细胞肺癌的疗效较好,但这并不适合所有患者,欧美人的疗效就远不及亚洲人,关键是有无EGFR的突变和K-ras突变。亚洲人、女性、腺癌、非吸烟者,特别是EGFR突变者,对吉非替尼常有良好效果。
至于乳腺癌,除了手术的适用原则外,雌孕激素受体是不是阳性、Her-2基因有没有过度表达,治疗方案也完全不一样。是否选择了合适的治疗方案,会直接影响到病人的预后。
在临床上,决定一个病人是否需要化疗,常常很难。在原发肿瘤被切除后,评估是否化疗放疗或其他治疗,主要看有无转移可能性。肿瘤愈大,转移可能性愈高。例如乳腺癌时,原发肿瘤小于2厘米者,80%不会转移,达到3.5厘米,转移可能性达50%,肿瘤达到10厘米时85%会发生转移。在对化疗相对敏感的癌肿(如乳腺癌),转移愈小,化疗效果愈好。在预测有转移可能性,而临床和影像技术尚未发现明显瘤灶的情况下,化疗效果最好。目前基因分析已可达到这个目的。例如大肠癌的患者,K-ras基因的突变率为30%-35%。如果K-ras基因发生突变,临床上使用EGFR药物(如爱必妥)则治疗无效,这部分病人如果使用这类化疗药,不仅无效,还要忍受药物的副作用,白白花费巨额费用。


