我很欣赏上述美国人的这份报告,但我不认为是最好的,因为我们取得的成绩远比他们好。我们就以黑色素瘤为例做一些比较吧。
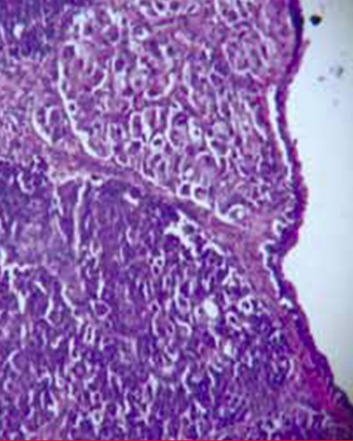
看到《新英格兰医学杂志》美国人的这篇文章后,我马上去上海,找到我的同行朋友,在上海第X人民医院找到一份1991年的病历。病历记载一位59岁的男性患者(见图A),患者鼻出血一个月, X摄片显示筛窦(在鼻腔上方)肿瘤5厘米大小,病理切片证实是恶性黑色素瘤(图 B)。给予手术,术中发现肿瘤侵犯到周围组织,伴淋巴结转移,无法切除(图 C)。术后给予放射治疗,无任何效果。患者出院,找到我的朋友,接受免疫治疗。半年后肿瘤大部消失,继续接受免疫治疗,一年后复查已无肿瘤证据。患者恢复正常生活。直到2004年初,患者再次鼻腔出血,检查发现肿瘤复发,后死于肺部感染(图 D)。患者从第一次住院起,生存了近14年,其中至少有12年是处于无病状态。

A是1992年住院病历

B是病理学检查,

C是手术记录;

D是2004年住院病历
我上海的朋友将这个患者的治疗经过,写成一篇短篇文章,送到《新英格兰医学杂志》,结果遭到退稿。这是我预期的,因为戴着有色眼镜的编辑先生绝不肯让中国人的治疗成绩比他们更好。
一个我自己亲自参加治疗的一位患者,他姓高,住江苏省江阴市。2001年他因眼睛看东西不清楚,在上海被诊断为眼虹膜黑色素瘤,接受了左眼切除手术。2003年,他感到肝区疼痛,在上海XX医院检查,发现肝脏内多个结节,肝活检证实为肝转移。医生告诉他只能生存3个月。他来我院接受了肝转移瘤冷冻消融和全身性联合免疫治疗。患者肝区病变停止发展,进而缩小,大部消失,恢复正常工作和生活(图 )。患者整整无病生存了4年半,最后死于消化道出血。
两个患者,病情与美国人报道的患者相似,但我们的病例一个活了14年,一个活了4年多。对后一个病例我在2010年日本国际低温医学年会上报道了,受到日本同行称赞。
待续...


